Nuestro Blog | ¡ 26 Años al Servicio de su Salud !
Valores normales de elastografía método ARFI en pacientes sin antecedentes patológicos:
Valores normales de elastografía método ARFI en pacientes sin antecedentes patológicos: cabeza y cuello (glándulas parótidas, glándulas submandibulares y tiroides). En conjunción con la imagen ecográfica, aparece una nueva técnica de imagen con nuevas...
Radiografías del Cuerpo.
Radiografías del Cuerpo. Otros nombres para estos estudios: radiógrafos, roentgenogramas y...
RM en la rodilla operada
La evaluación hepatica entre Adenoma y HNF por resonancia magnética y su diferenciación con hepatocarcinoma puede ser difícil en ciertos casos aún, con el uso de contraste hepato especifico. Se presenta caso de paciente de la 3a década, que en su embarazo se...
RM trifásica de hígado.
La evaluación hepatica entre Adenoma y HNF por resonancia magnética y su diferenciación con hepatocarcinoma puede ser difícil en ciertos casos aún, con el uso de contraste hepato especifico. Se presenta caso de paciente de la 3a década, que en su embarazo se...
Protegido: 0002
Password Protected
To view this protected post, enter the password below:
Protegido: 0001
Password Protected
To view this protected post, enter the password below:
ECOGRAFIA 4D OBSTETRICA
ECOGRAFIA 4D OBSTETRICA ¿Cuándo se puede realizar una ecografía 4D y en qué casos está recomendada? Es recomendable que la ecografía se haga entre las semanas 26 y 32 de embarazo. Las ecografías son una rutina en todos los embarazos, hoy en día. La exploración con...
BIRADS en mamografia
Manifestaciones Radiológicas de la Neumonía en la persona inmunocompetente
Ante un paciente con síndrome febril, tos, taquipnea y estertores a la auscultación, debe de considerarse el diagnóstico clínico de una neumonía infecciosa. Para orientar el diagnóstico clínico de la neumonía, instaurar un tratamiento óptimo en base al diagnóstico...
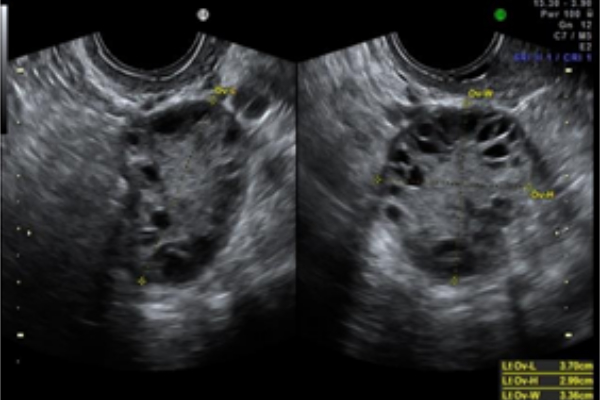
SINDROME DE OVARIOS POLIQUÍSTICOS
Es un trastorno endocrino y metabólico, que condiciona un desequilibrio en las hormonas sexuales femeninas. Puede afectar al 6-10% de las mujeres en edad fértil, en especial entre los 20 y 30 años. No existe un test único para su diagnóstico. Sino, que existe un...
MENÚ
CONTÁCTENOS
Telefonos
Correo Electrónico
Dirección
Centro comercial Linda Vista módulo C3, Managua, Nicaragua






