Nuestro Blog | ¡ 26 Años al Servicio de su Salud !
COLANGIORM
COLANGIORM Coledocolitiasis: Es la presencia de por lo menos un cálculo en el conducto colédoco. Dicho cálculo puede estar formado de pigmentos Biliares o de sales de calcio y de colesterol. Aproximadamente 1 de cada 7 personas con cálculos biliares, padece cálculos...
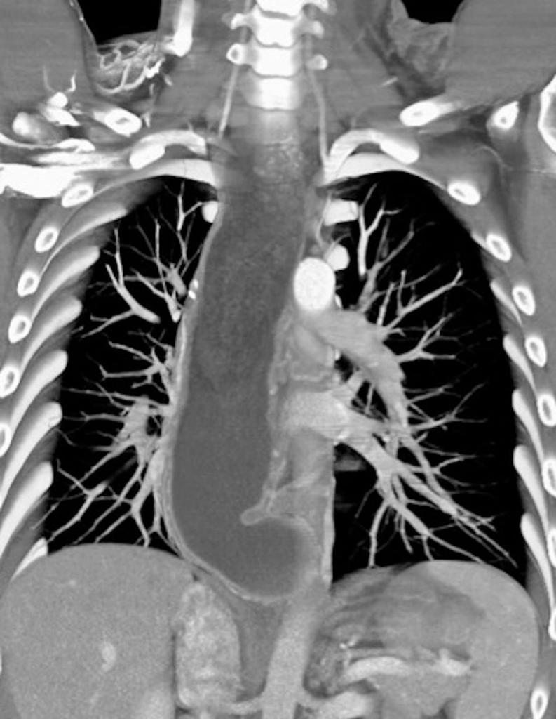
TC DE TORAX .
TC DE TORAX . La Acalasia es un trastorno poco frecuente, que dificulta el paso de alimentos y líquidos hacia el estómago. La acalasia se presenta cuando se dañan los nervios del esófago. En consecuencia, el esófago pierde la capacidad de empujar el alimento hacia...
TC DE ABDOMEN
TC DE ABDOMEN La linitis plástica es una forma infiltrativa difusa del adenocarcinoma gástrico. Afecta la pared gástrica y su crecimiento es en profundad por lo que puede presentar una mucosa normal con pliegues engrosados pero con disminución o ausencia de...
¿Quién debe de realizarse una ecografía (ultrasonido) de mamas?
¿Quién debe de realizarse una ecografía (ultrasonido) de mamas? ✔ Mujeres con nódulo palpable único o múltiples. ✔ Dolor detrás del pezón y salida anormal de líquido. ✔ Aumento de la temperatura y dolor durante la lactancia materna. ✔ Cuando ya te has...
Angioresonancia periférica (miembro superior derecho).
Angioresonancia periférica (miembro superior derecho). Pacientes con luzación glehumeral anterior y fractura diafisiaria del humero, de un mes de evolución. Se complica con una oclusión de un segmento de la...
ESQUISENCEFALIA
ESQUISENCEFALIA Son hendiduras de sustancia gris que se extienden desde la superficie ependimaria de los ventrículos hasta la superficie pial del córtex. La corteza que recubre la hendidura es displásica y puede extenderse hasta el ventrículo en forma de heterotopias...
Ultrasonido obstétrico
El ultrasonido obstétrico utiliza ondas sonoras para producir imágenes de un bebé (embrión o feto) que está dentro de una mujer embarazada, como así también del útero y los ovarios de la madre. No utiliza radiación ionizante, no tiene efectos nocivos conocidos,...
Sintomas de Tuberculosis pulmonar -Dificultad respiratoria.
Sintomas de Tuberculosis pulmonar -Dificultad respiratoria. -Dolor en el pecho. -Tos (algunas veces con expectoración de moco)😷 -Expectoración con sangre.🤮 -Sudoración excesiva, especialmente en la noche.😓 -Fatiga.🤯 -Fiebre.🤒 -Pérdida de peso.☠ Consulta al...
Radiografía Simple
La radiografía simple sigue siendo la técnica diagnostica inicial ante la sospecha de osteomielitis. La Osteomielitis crónica: se caracteriza por necrosis ósea con destrucción trabecular y formación de abscesos intraóseos que pueden contener secuestros (fragmentos de...
Ultrasonido Doppler de arterias carótidas
El ultrasonido de carótida utiliza ondas sonoras para producir imágenes de las arterias carótidas del cuello, arterias que transportan sangre desde el corazón hasta el cerebro. Este examen generalmente incluye un estudio de ultrasonido Doppler (una técnica que evalúa...
MENÚ
CONTÁCTENOS
Telefonos
Correo Electrónico
Dirección
Centro comercial Linda Vista módulo C3, Managua, Nicaragua








