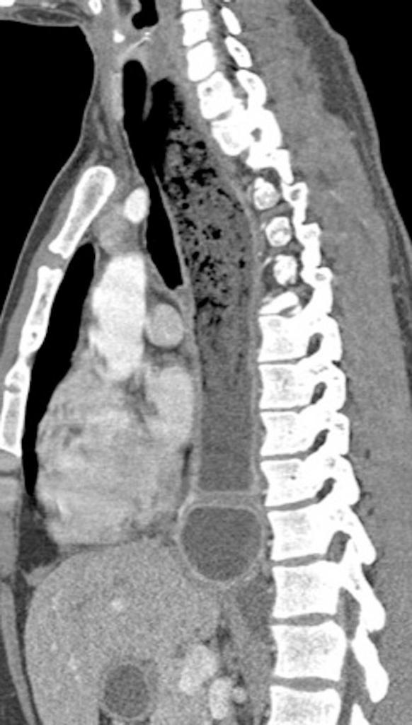
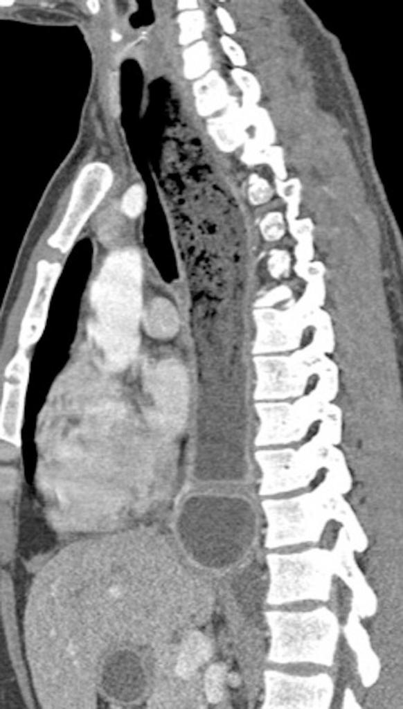
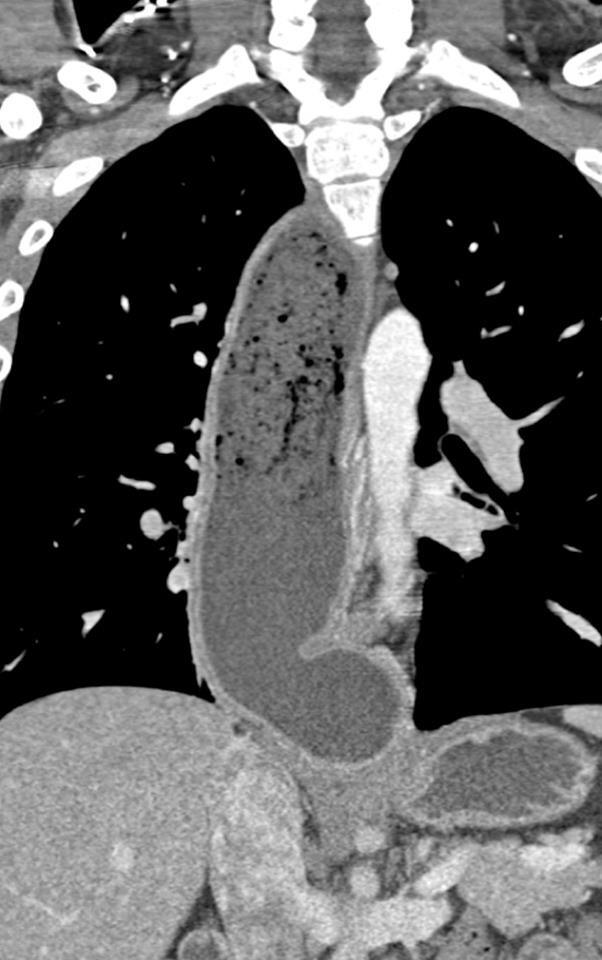
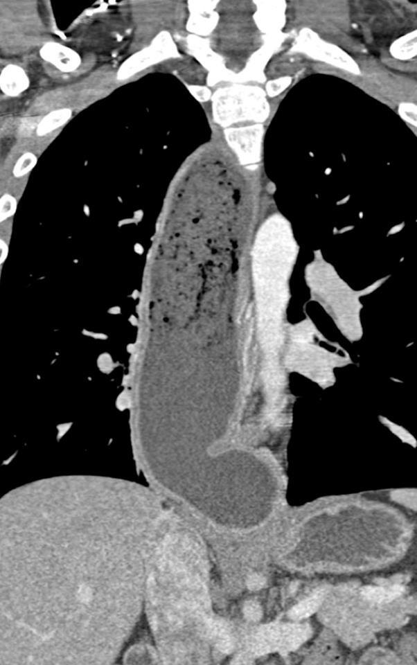
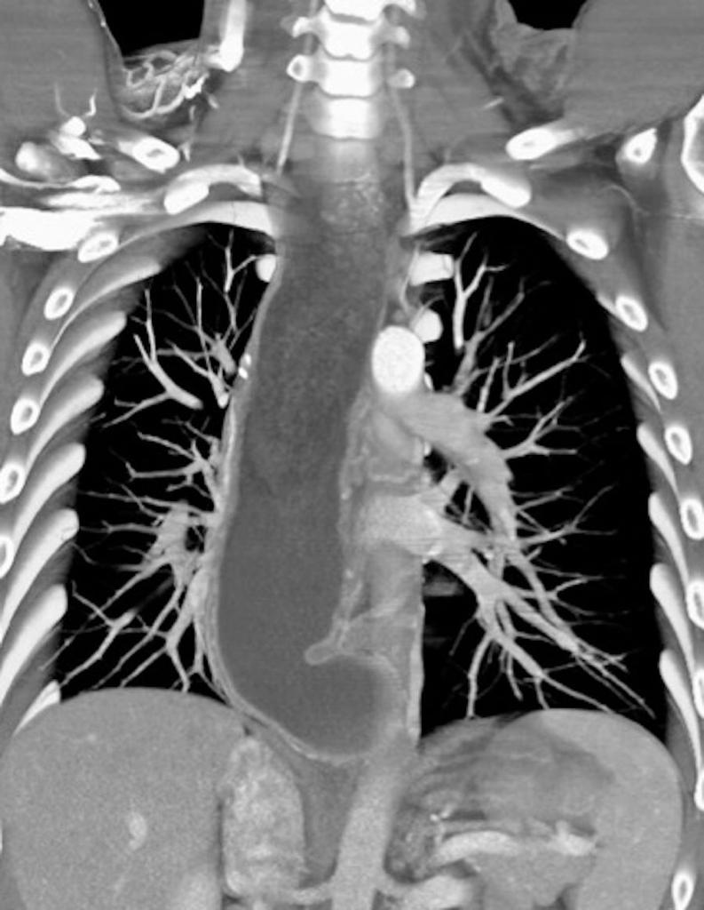
TC DE TORAX .
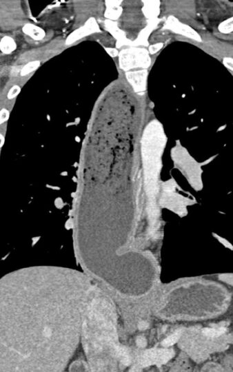
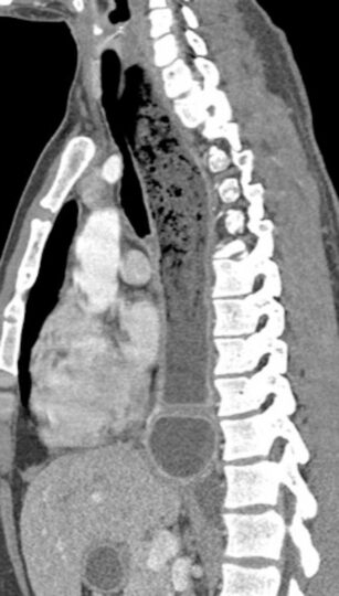
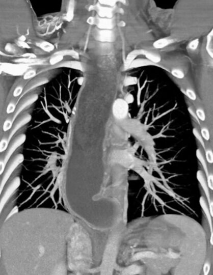
La Acalasia es un trastorno poco frecuente, que dificulta el paso de alimentos y líquidos hacia el estómago. La acalasia se presenta cuando se dañan los nervios del esófago. En consecuencia, el esófago pierde la capacidad de empujar el alimento hacia abajo, y la válvula muscular que se encuentra entre el esófago y el estómago( esfínter esofágico inferior) no se relaja por completo, lo que dificulta que el alimento llegue al estómago.
Dra. Sterling Arroliga Selva.
Esp. Radiología -Resonancia Magnética
Ing. Lesther Lira.
Centro de Diagnóstico por Imágenes “Linda Vista”


