Nuestro Blog | ¡ 26 Años al Servicio de su Salud !
Rmn Trifásica de Hígado
Masculino de 52 años, con cirrosis hepática. La elastografía ecográfica evidencia fibrosis Categoría F3 según escala de METAVIR y la presencia de múltiples nodulaciones, que en su mayoría son menores a 2 cm. En este contexto, toda nodulación mayor de 1 cm, debe ser...
RESONANCIA MAGNÉTICA FETAL U OBSTÉTRICA:
RESONANCIA MAGNÉTICA FETAL U OBSTÉTRICA: CEFALOCELE ATRESICO: El encefalocele es una anomalía congénita rara, en la que una porción del encéfalo protruye a través de un orificio craneal (evaginación), generalmente situado en la línea media. Clínicamente se caracteriza...
La imagen de resonancia magnética (MRI) de mamas
La imagen de resonancia magnética (MRI) de mamas: puede ayudar a identificar a las mujeres en riesgo de tener márgenes positivos de tumor después de la cirugía de conservación de mama para cáncer invasivo. Dra. Sterling Arróliga Selva. Esp. Radiología -Resonancia...
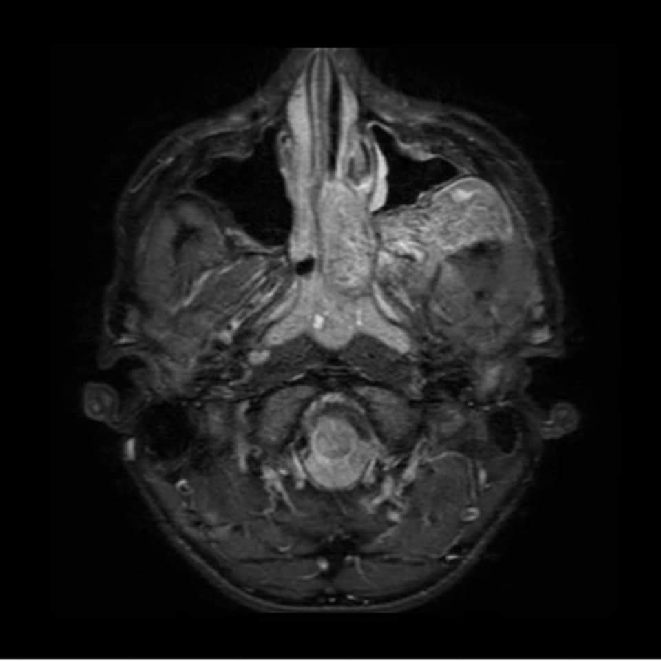
Angiofibroma Juvenil
Tumor benigno (no canceroso) formado por vasos sanguíneos y tejido fibroso. Los angiofibromas nasofaríngeos juveniles aparecen en la parte posterior de la nariz y a veces se diseminan a la parte superior de la garganta, los senos paranasales y los huesos que rodean...
Masas Ovaricas
Dra, Alejandra Espinoza Esp. en Radiología e Imagenología Resonancia Magnética Cardiovascular Centro de Diagnóstico Por Imágenes “Linda Vista”
Resonancia magnética de corazón
La RMC (resonancia magnética de corazón) ha demostrado ser eficaz para detectar el daño sufrido por el corazón tras un infarto, de forma más rápida y precisa. ✔En concreto, permite localizar de forma más rápida el aumento del contenido de agua (edema) en el músculo...
Las adenoides
Las adenoides son tejidos linfáticos que se encuentran en las vías respiratorias altas entre la nariz y la parte posterior de la garganta. Son similares a las amígdalas. La hipertrofia de adenoides significa que el tejido está hinchado. Los niños con hipertrofia de...
Caso RM de pelvis
Caso RM de pelvis RM Biparamétrica de vejiga. (Cáncer de vejiga) Femenina de 80 años, con prótesis en cadera derecha. Antecedente de IRC. No es posible realizar estudio de angiogénesis, por presentar TFG de 15ml/min y por consiguiente no administramos contraste...
Cáncer de Esófago:
Cáncer de Esófago: El cáncer de esófago es la sexta causa más frecuente de muertes por cáncer en todo el mundo. Algunos factores de riesgo de cáncer de esófago, se pueden atribuir al consumo de tabaco y alcohol o a ciertos hábitos nutricionales y obesidad. Los...
Fractura del calcáneo
Fractura del calcáneo: El calcáneo es el hueso que da forma al pie. Las fracturas de calcáneo pueden ser lesiones muy debilitantes y normalmente son malas fracturas. El hueso del talón se lesiona por enormes fuerzas de impacto en los pies, tales como caídas de altura...
MENÚ
CONTÁCTENOS
Telefonos
Correo Electrónico
Dirección
Centro comercial Linda Vista módulo C3, Managua, Nicaragua









