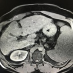
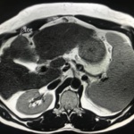
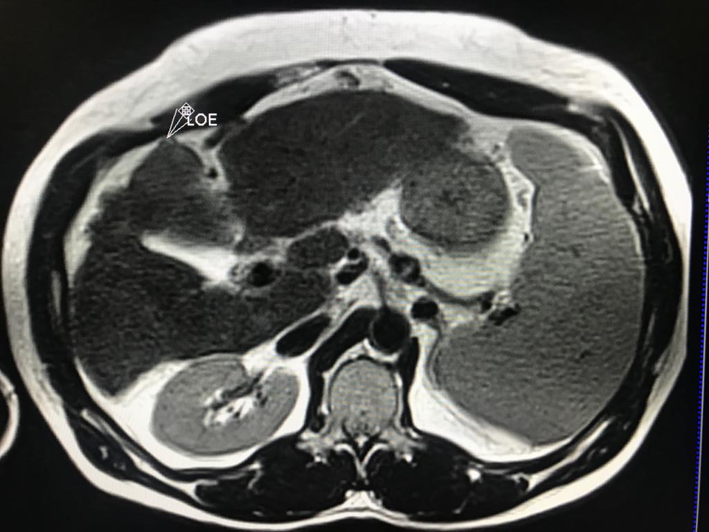
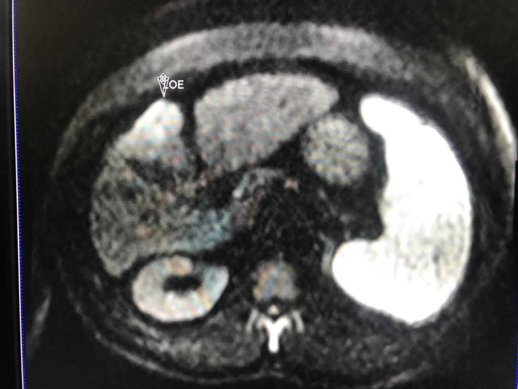
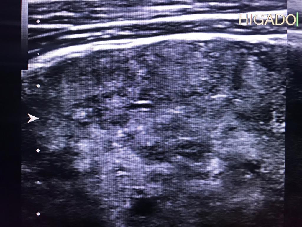
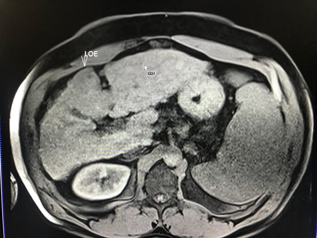
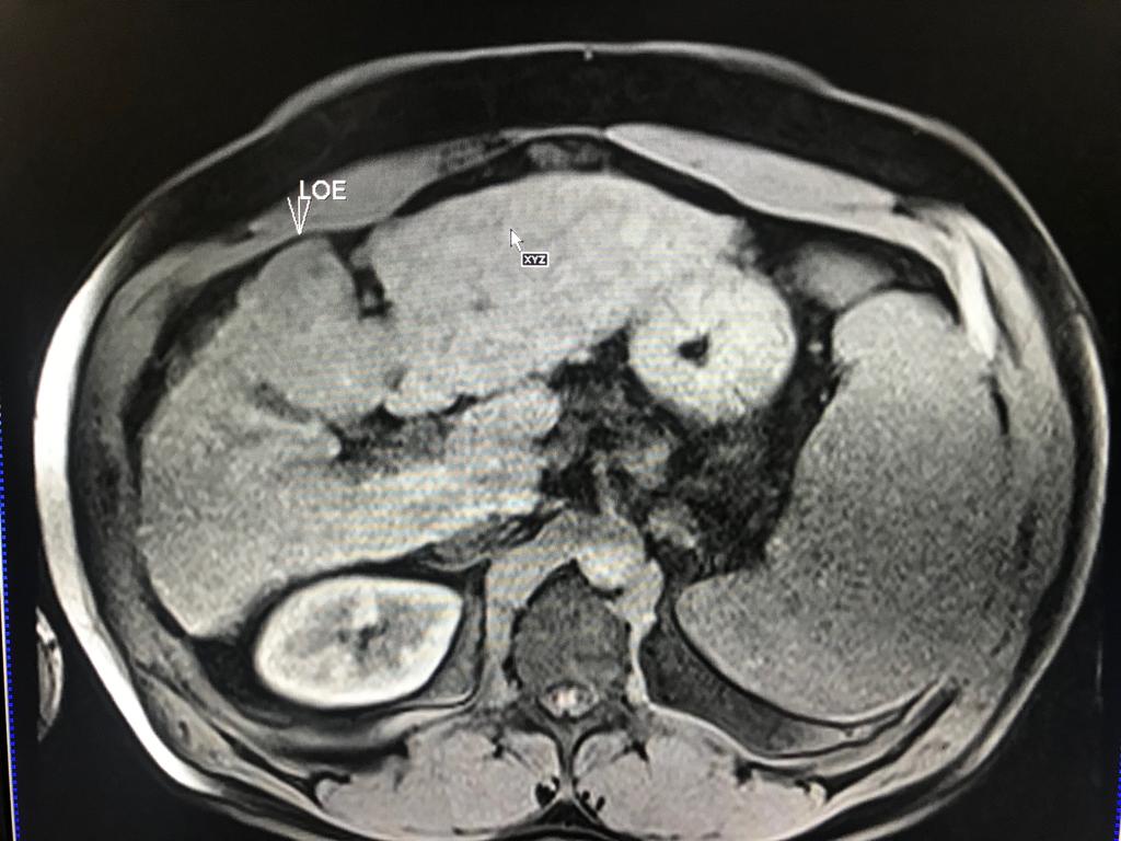
Masculino de 52 años, con cirrosis hepática. La elastografía ecográfica evidencia fibrosis Categoría F3 según escala de METAVIR y la presencia de múltiples nodulaciones, que en su mayoría son menores a 2 cm.
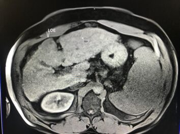
En este contexto, toda nodulación mayor de 1 cm, debe ser evaluada idealmente con RM trifásica con secuencia de Difusión , para discriminar si se trata de nódulos de regeneración , nódulos displásicos o hepatocarcinoma.
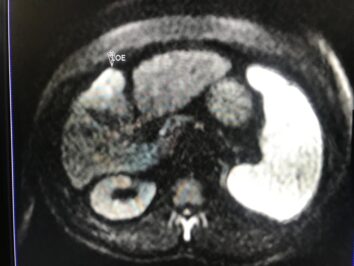
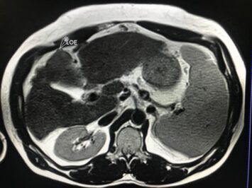
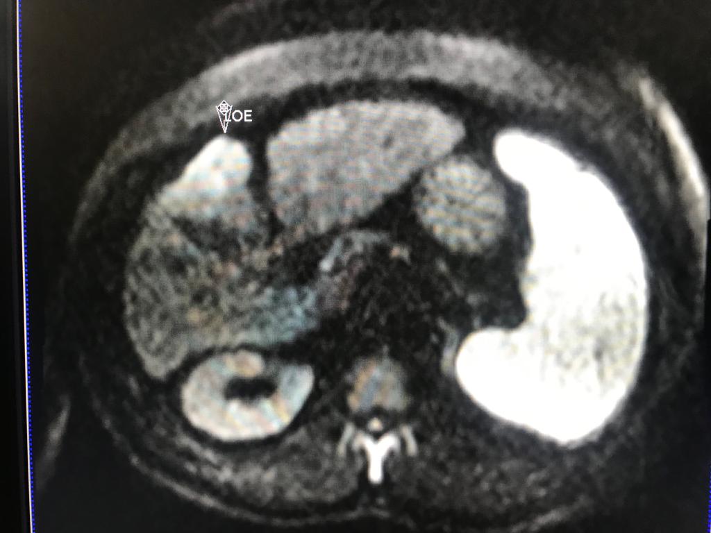
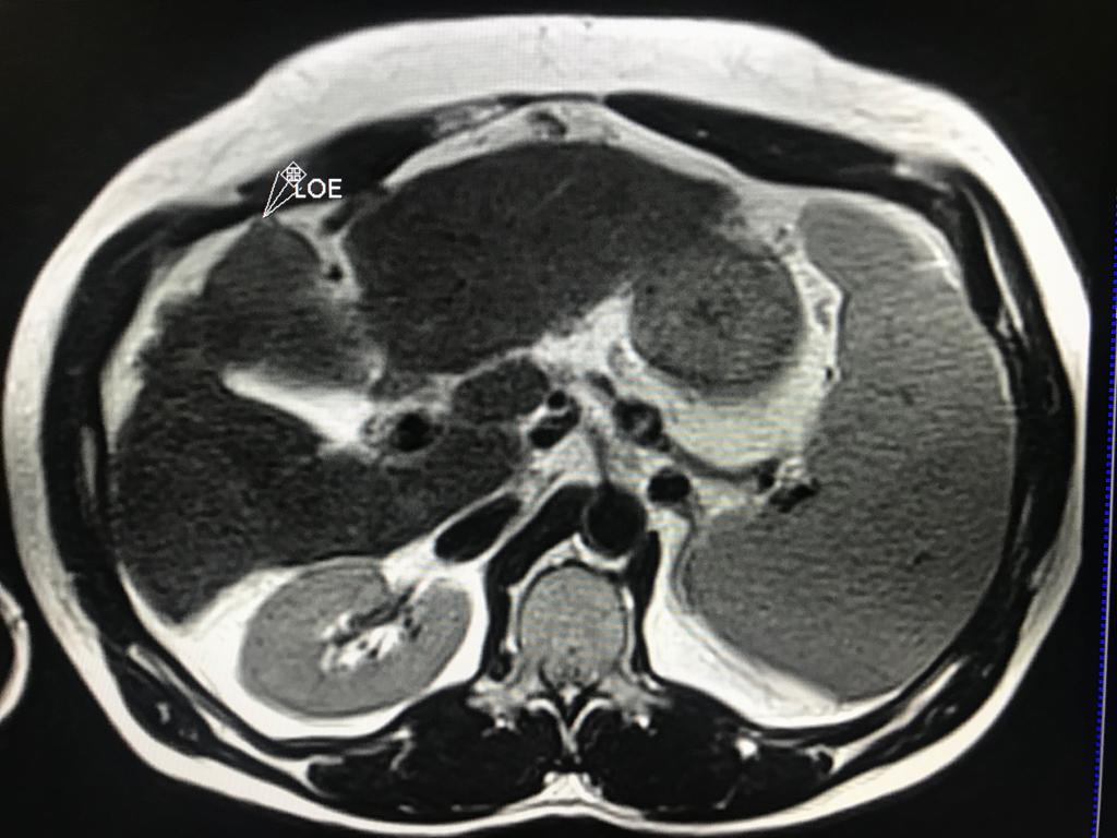
En el presente caso, encontramos una lesión típica de hepatocarcinoma en el segmento 5 ( hiperintensa en T2, restringe en la Difusión con ADC bajo. Realza heterogéneamente postcontraste EV, con wash out y presencia cápsula tardía).
El objetivo es identificar dentro de la multifocalidad de nódulos , un hepatocarcinoma precoz o de pequeño tamaño , cuando la posibilidad de tratamiento con intención curativa es viable , a pesar de la cirrosis.
Dra. Sterling Arróliga Selva.
Esp. Radiología -Resonancia Magnética
Lic Francisco Paseta. TR en RM
Centro de Diagnóstico por Imágenes “Linda Vista”











