5/5 - (1 vote)
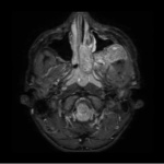
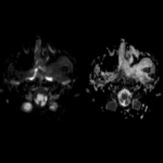
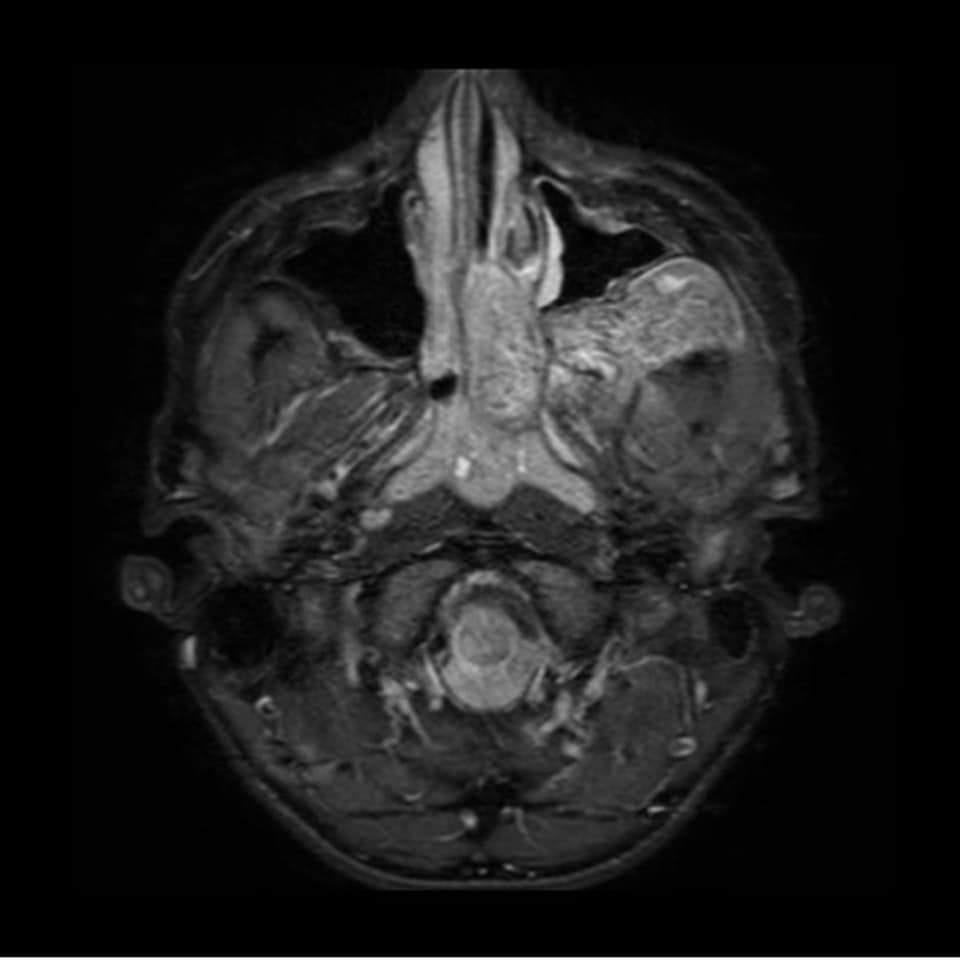
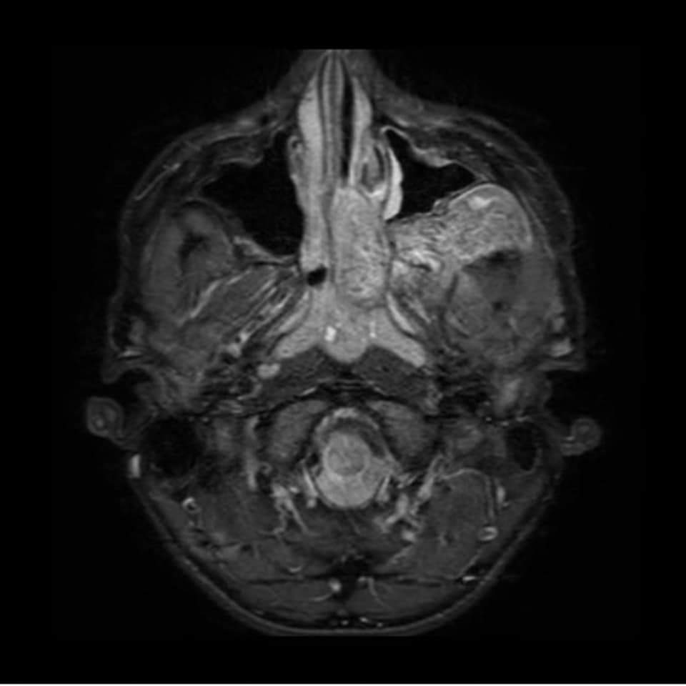
Tumor benigno (no canceroso) formado por vasos sanguíneos y tejido fibroso. Los angiofibromas nasofaríngeos juveniles aparecen en la parte posterior de la nariz y a veces se diseminan a la parte superior de la garganta, los senos paranasales y los huesos que rodean los ojos; en muy pocas ocasiones se diseminan al cerebro. Los signos y síntomas son secreción nasal, hemorragia nasal, dificultad para respirar por la nariz, sordera y tendencia a formar moretones. Los angiofibromas nasofaríngeos juveniles son más frecuentes en hombres jóvenes. Son un tipo de tumor vascular.
Dra. Alejandra Espinoza Barillas.
Especialista en diagnóstico por imágenes. 👩🏻⚕
#nosapasionanuestrotrabajo
Imágenes de resonancia magnética.
BIENVENIDO A SU CENTRO DE DIAGNÓSTICO POR IMÁGENES LINDA VISTA
Cuenta con el personal científico médico y técnico en Diagnósticos por imágenes de alta calidad con experiencia en nuestro país, para la atención de los pacientes que requieren diferentes tipos de diagnóstico; además del personal de apoyo calificado, con sensibilidad humana, garantizando una excelente atención y un diagnóstico confiable.
¡Suscríbete a nuestro boletín!
[easy-share counters=1 counter_pos="inside" native="no" hide_total="yes" fullwidth="yes" fullwidth_fix="100"]
Entradas recientes
- RADIOGRAFIA Y ECOGRAFIA DE HOMBRO OSTEOARTRITIS ACROMIOCLAVICULAR 7 julio, 2022
- Resonancia Magnética de Cuello 6 julio, 2022
- ¿ Qué significa lesión BIRADS 4 ? 7 noviembre, 2019
| L | M | X | J | V | S | D |
|---|---|---|---|---|---|---|
| 1 | 2 | 3 | 4 | 5 | 6 | 7 |
| 8 | 9 | 10 | 11 | 12 | 13 | 14 |
| 15 | 16 | 17 | 18 | 19 | 20 | 21 |
| 22 | 23 | 24 | 25 | 26 | 27 | 28 |
| 29 | 30 | 31 | ||||


