(505 ) 2264 3079 | + (505) 2264 3080| + (505) 2264 3081 | imaglvista@gmail.com
Piedras en las vías urinarias? 

Piedras en las vías urinarias? 

Piedras en las vías urinarias? La litiasis renal, también denominada urolitiasis o nefrolitiasis, es una enfermedad causada por la presencia de cálculos o piedras en el interior de los riñones o de las vías urinarias (uréteres o vejiga). Síntomas Cólico nefrítico:...
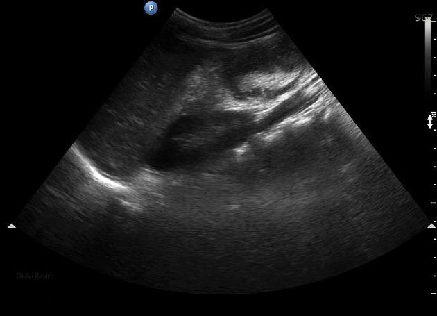
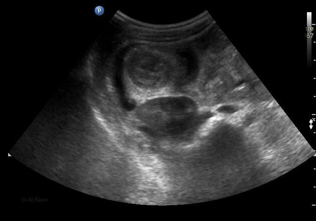
Ultrasonido de Glándula Tiroides

Ultrasonido de Glándula Tiroides

  El término nódulo tiroideo se refiere a cualquier crecimiento anormal de las células tiroideas que forman un tumor dentro de la tiroides. Aunque la gran mayoría de los nódulos tiroideos son benignos (no cancerosos), una pequeña proporción de estos nódulos sí...
RM CEREBRAL Quiste Porencefálico:

RM CEREBRAL Quiste Porencefálico:

RM CEREBRAL Quiste Porencefálico: Son cavidades originadas tras infecciones, infartos isquémicos o cirugía en el parénquima cerebral con contenido de LCR comportándose de manera similar a este en las distintas secuencias de RM.     Dra. Sterling Arróliga...
RM CEREBRAL

RM CEREBRAL

RM CEREBRAL Meningioma Lipomatoso: Es una variante atípica del meningioma. Los meningiomas constituye el tumor  intracraneal primario más frecuente (15-20%) y el tumor extraparenquimatoso más frecuente en el compartimento supratentorial en el adulto. Es por tanto una...
TC de Abdomen

TC de Abdomen

TC de Abdomen Invaginación intestinal (ILEOCECAL) Es rara en adultos y tiene características diferentes a las invaginaciones de los niños. La tomografía se ha vuelto fundamental, con una alta sensibilidad y especificidad para el diagnóstico de la invaginación...
TC DE GLANDULAS SUPRARRENALES.

TC DE GLANDULAS SUPRARRENALES.

TC DE GLANDULAS SUPRARRENALES. La hemorragia suprarrenal es una entidad infrecuente que puede ser uní o bilateral. Cuando es unilateral suele ser clínicamente silente y en la mayor parte de los casos se diagnostica de forma incidental. Sin embargo, la hemorragia...