by Administración Cdlvnic | Jun 15, 2019 | Notas, Noticias
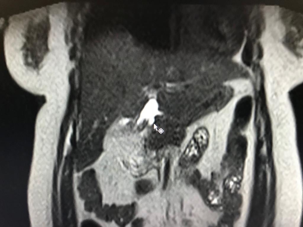
COLANGIORM Coledocolitiasis: Es la presencia de por lo menos un cálculo en el conducto colédoco. Dicho cálculo puede estar formado de pigmentos Biliares o de sales de calcio y de colesterol. Aproximadamente 1 de cada 7 personas con cálculos biliares, padece cálculos...
by Administración Cdlvnic | Jun 12, 2019 | Notas, Noticias
TC DE TORAX . La Acalasia es un trastorno poco frecuente, que dificulta el paso de alimentos y líquidos hacia el estómago. La acalasia se presenta cuando se dañan los nervios del esófago. En consecuencia, el esófago pierde la capacidad de empujar el alimento hacia...
by Administración Cdlvnic | Jun 11, 2019 | Notas, Noticias
TC DE ABDOMEN La linitis plástica es una forma infiltrativa difusa del adenocarcinoma gástrico. Afecta la pared gástrica y su crecimiento es en profundad por lo que puede presentar una mucosa normal con pliegues engrosados pero con disminución o ausencia de...
by Administración Cdlvnic | Jun 10, 2019 | Noticias
¿Quién debe de realizarse una ecografía (ultrasonido) de mamas? ✔ Mujeres con nódulo palpable único o múltiples. ✔ Dolor detrás del pezón y salida anormal de líquido. ✔ Aumento de la temperatura y dolor durante la lactancia materna. ✔ Cuando ya te has...
by Administración Cdlvnic | Jun 7, 2019 | Notas, Noticias
Angioresonancia periférica (miembro superior derecho). Pacientes con luzación glehumeral anterior y fractura diafisiaria del humero, de un mes de evolución. Se complica con una oclusión de un segmento de la arteria subclavia-axilar, secundaria a trombosis. Las...
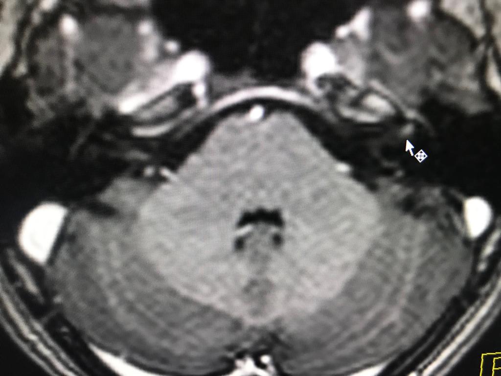
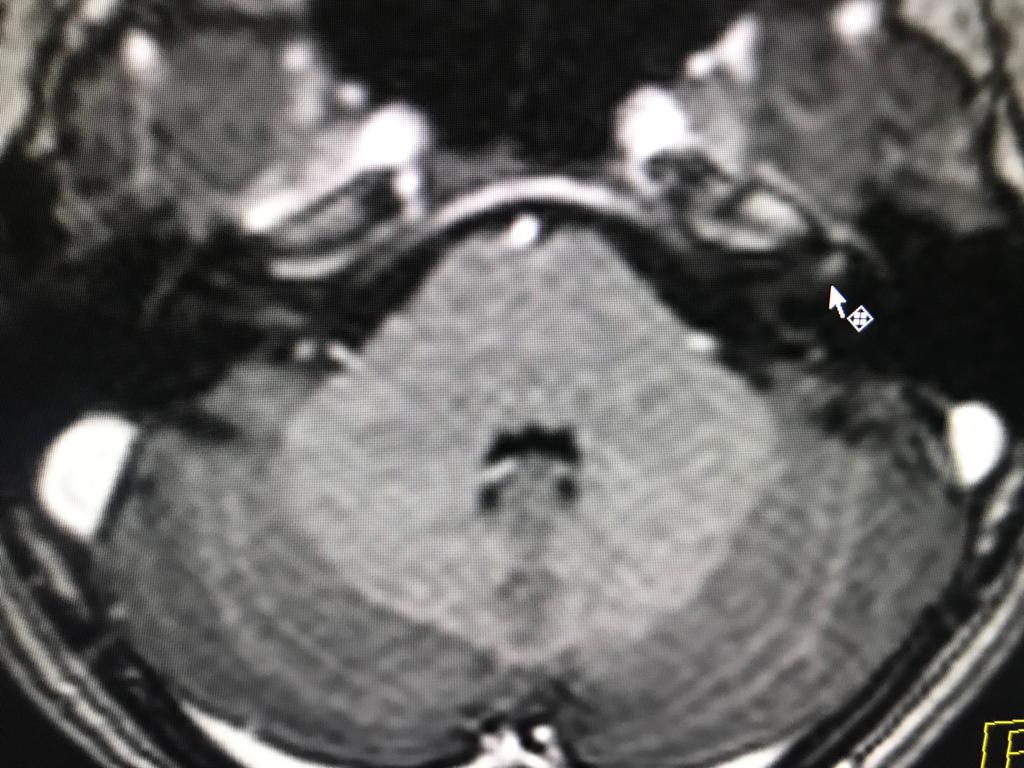
by Administración Cdlvnic | Jun 7, 2019 | Notas, Noticias
ESQUISENCEFALIA Son hendiduras de sustancia gris que se extienden desde la superficie ependimaria de los ventrículos hasta la superficie pial del córtex. La corteza que recubre la hendidura es displásica y puede extenderse hasta el ventrículo en forma de heterotopias...