TC DE GLANDULAS SUPRARRENALES.
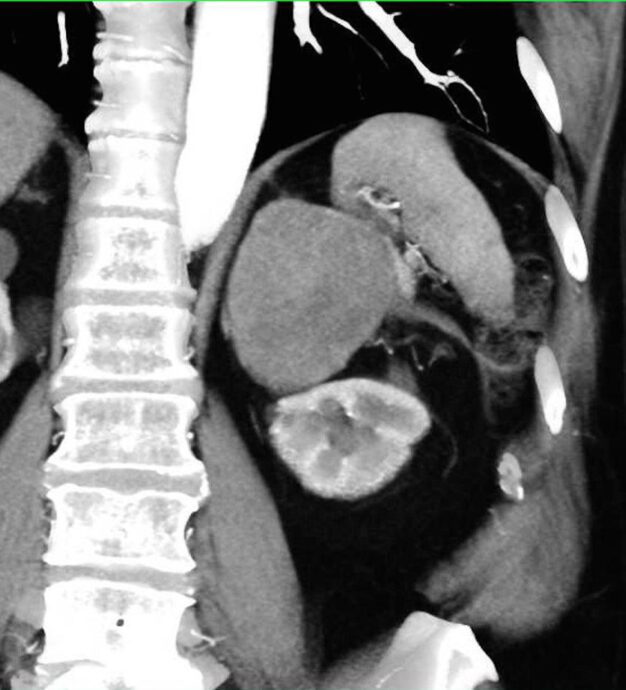
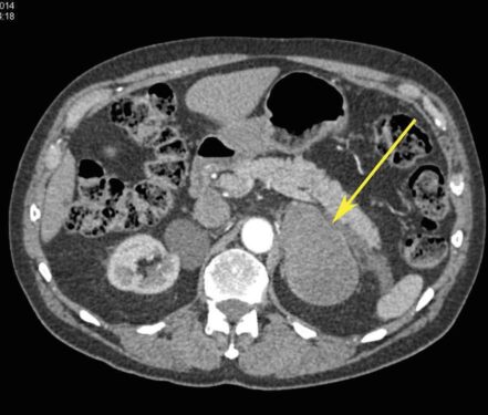
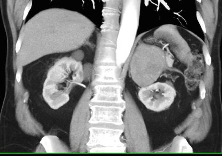
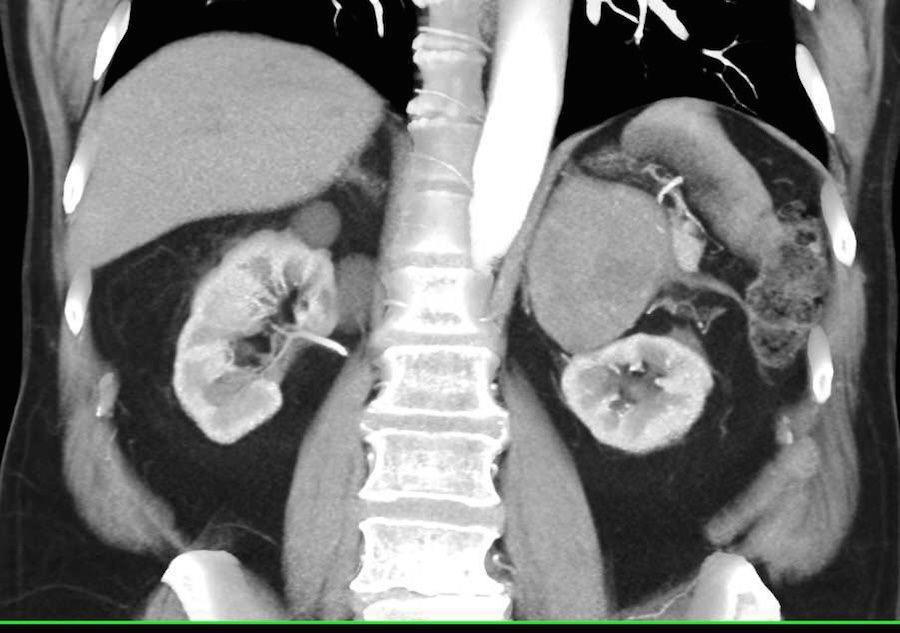
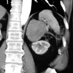
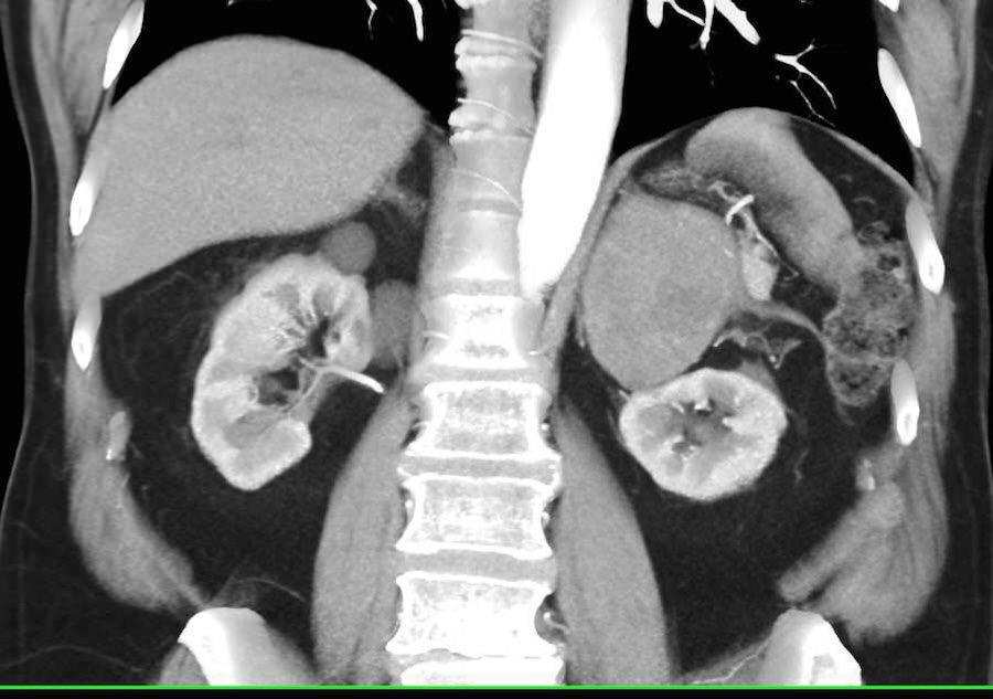
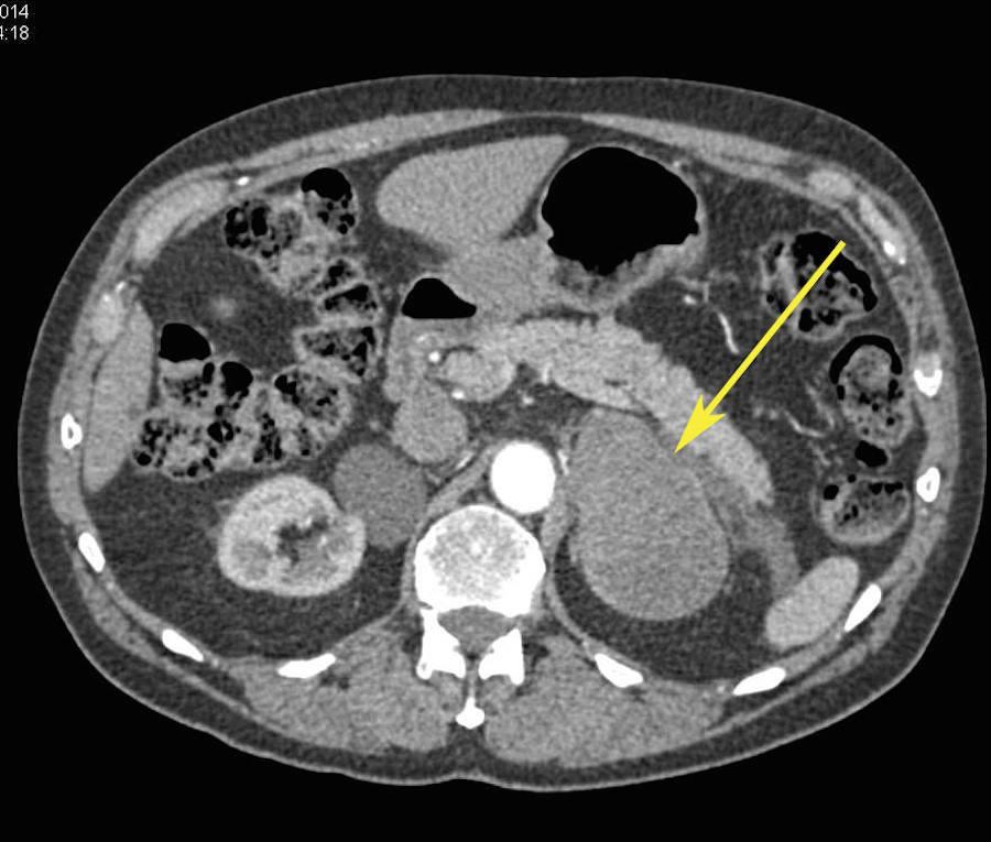
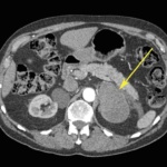
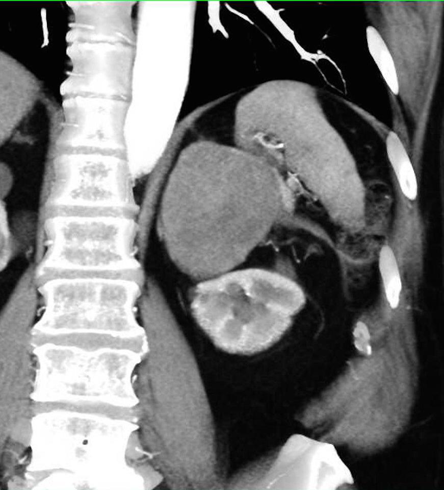
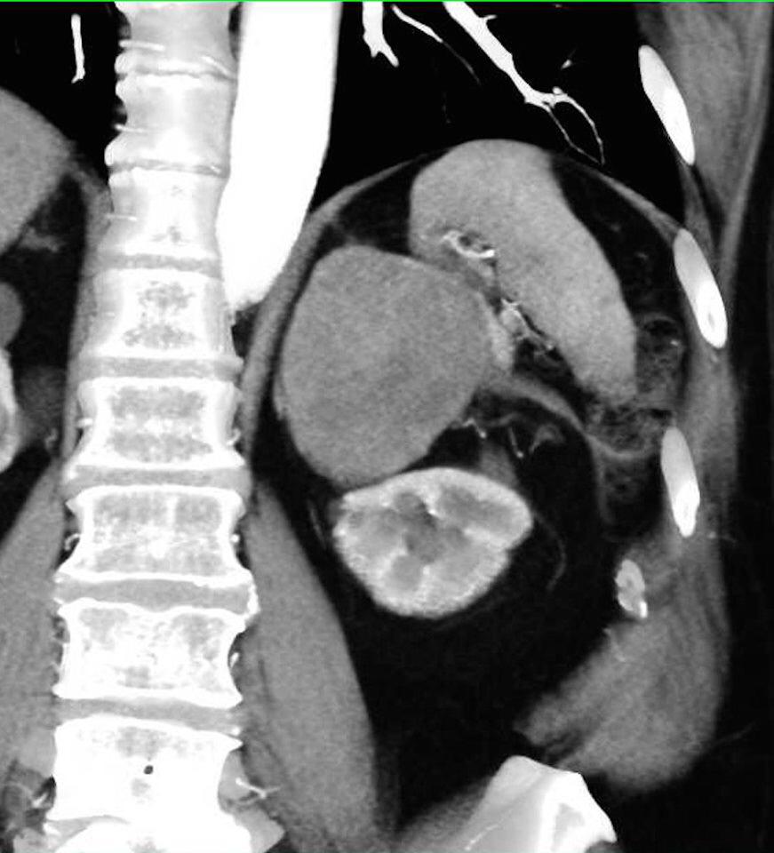
La hemorragia suprarrenal es una entidad infrecuente que puede ser uní o bilateral.
Cuando es unilateral suele ser clínicamente silente y en la mayor parte de los casos se diagnostica de forma incidental.
Sin embargo, la hemorragia bilateral por lo general desencadena una insuficiencia suprarrenal aguda, a veces dando como resultado el coma o la muerte si la terapia de reemplazo de esteroides no se administra con prontitud.
Las causas de hemorragia suprarrenal se dividen en traumáticas (la mayoría unilaterales y derechas) y espontaneas, agudas y crónicas.
Dra. Sterling Arróliga Selva.
Esp. Radiología -Resonancia Magnética
Lic. Francisco Paseta
Centro de Diagnóstico por Imágenes “Linda Vista”


