Piedras en las vías urinarias?
La litiasis renal, también denominada urolitiasis o nefrolitiasis, es una enfermedad causada por la presencia de cálculos o piedras en el interior de los riñones o de las vías urinarias (uréteres o vejiga).
Síntomas
Cólico nefrítico: Dolor en la zona lumbar o espalda baja que se irradia hacia el abdomen anterior y hacia los genitales; se produce por el taponamiento de la salida de orina del riñón y a veces provoca un dolor muy intenso.
Es un dolor intermitente que se asocia a náuseas, vómitos, sudoración y sensación de hinchazón abdominal. No suele provocar fiebre.
Infecciones de orina: Los cálculos renales pueden ser causa o consecuencia de infecciones frecuentes .
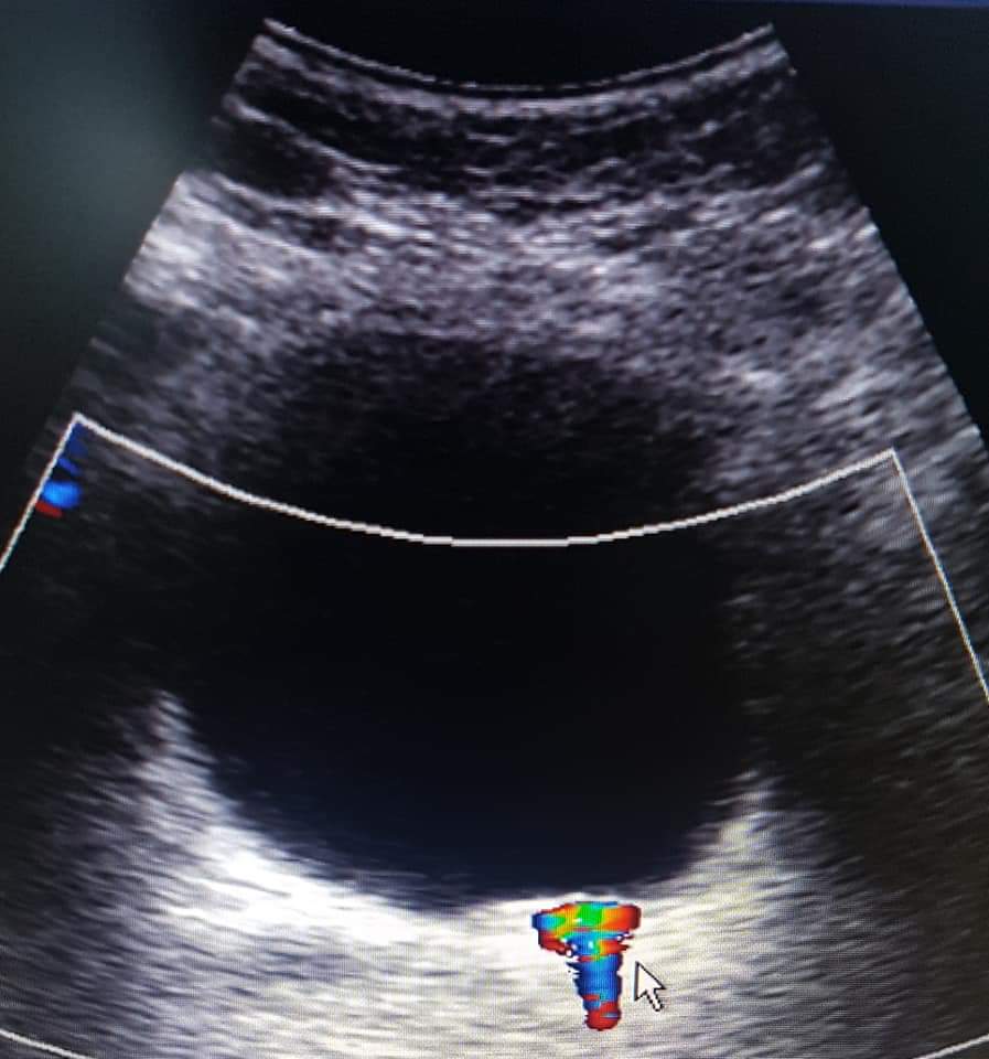
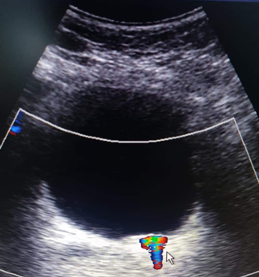
En las imágenes mostramos el caso de un lito (piedra) atorado en la porción más distal del ureter izquierdo cercano a su unión con la vejiga. El diagnóstico se realizó mediante ultrasonido.
Dra. Alejandra Espinoza
Especialista en Radiología.
Visitanos en Centro de Diagnóstico por Imágenes Linda Vista sucursal La Virgen. Plaza La Virgen Módulo A2.
BIENVENIDO A SU CENTRO DE DIAGNÓSTICO POR IMÁGENES LINDA VISTA
Cuenta con el personal científico médico y técnico en Diagnósticos por imágenes de alta calidad con experiencia en nuestro país, para la atención de los pacientes que requieren diferentes tipos de diagnóstico; además del personal de apoyo calificado, con sensibilidad humana, garantizando una excelente atención y un diagnóstico confiable.
¡Suscríbete a nuestro boletín!
Entradas recientes
- RADIOGRAFIA Y ECOGRAFIA DE HOMBRO OSTEOARTRITIS ACROMIOCLAVICULAR 7 julio, 2022
- Resonancia Magnética de Cuello 6 julio, 2022
- ¿ Qué significa lesión BIRADS 4 ? 7 noviembre, 2019
| L | M | X | J | V | S | D |
|---|---|---|---|---|---|---|
| 1 | 2 | 3 | 4 | 5 | 6 | 7 |
| 8 | 9 | 10 | 11 | 12 | 13 | 14 |
| 15 | 16 | 17 | 18 | 19 | 20 | 21 |
| 22 | 23 | 24 | 25 | 26 | 27 | 28 |
| 29 | 30 | 31 | ||||

