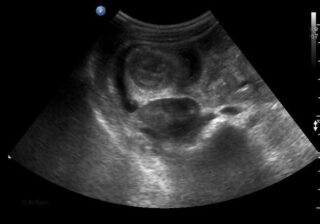
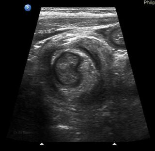
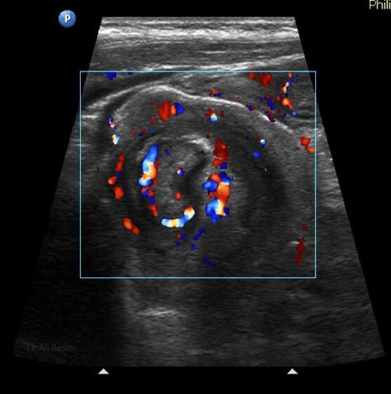
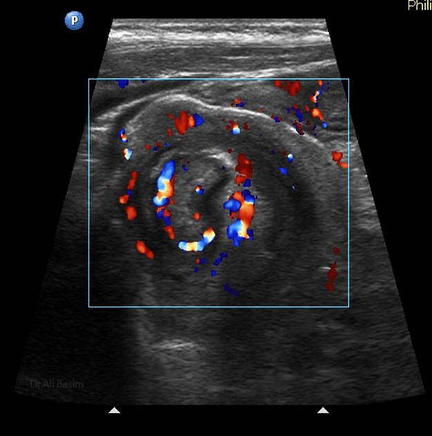
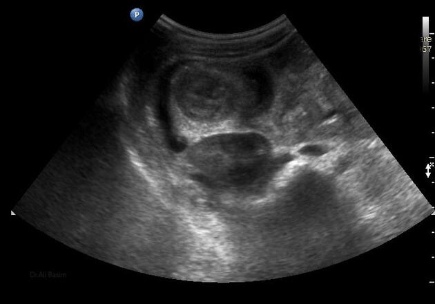
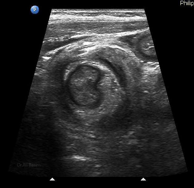
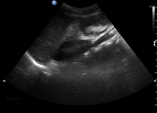
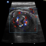
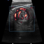
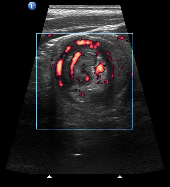
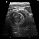
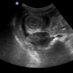
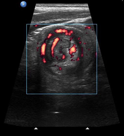
La invaginación intestinal es la causa más común de obstrucción intestinal en niños de 3 meses a 3 años. Se caracteriza porque un segmento de intestino penetra en otro segmento intestinal. Puede presentarse en colon, intestino delgado o entre intestino delgado y el colon. El resultado es la obstrucción intestinal.
Dra Sterling Arróliga Selva(Radióloga).




