.
🔹Varón de 12 años que consulta por tumefacción en región anterior de muslo derecho. Refiere molestia a ese nivel 3 días antes, después de pique en partido de fútbol.
.
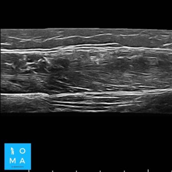
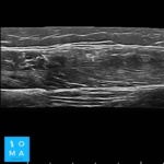
🔹Cambios inflamatorios asociado a edema y banda líquida que rodea a la unión miotendinosa central del sector medio del músculo recto anterior del cuádriceps derecho, de 10 mm de extensión, evocador de desgarro de la unión miotendinosa grado II.
.
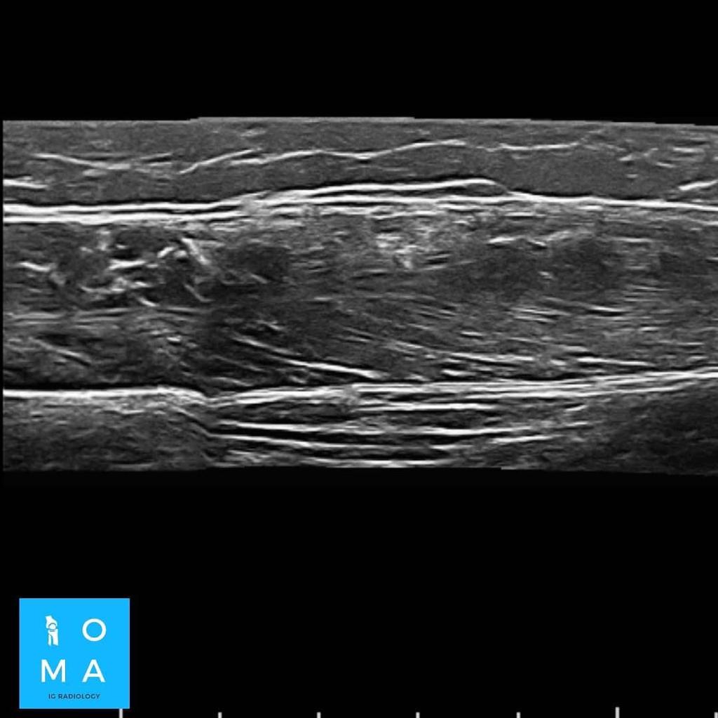
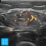
🔹En un segundo tiempo se realiza ecografía dirigida, confirmando los hallazgos a nivel del tendón central del músculo recto
anterior del cuádriceps derecho, presentando desgarro grado II, asociado a un
aumento del flujo vascular al examen Power doppler.
.
🔹DESGARRO DEL RECTO FEMORAL
.El más frecuente en el grupo cuadricipital en desgarrarse. Segundo después del isquiotibial en MMII.
.La sintomatología es poco clara, la RMN aporta información fundamental acerca de la extensión y localización (lesiones cercanas a la inserción requieren mas días de tratamiento) , sin embargo el edema sobredimenciona la lesión, por lo que el método de elección, para clasificar el grado, es la ecografía realizada por un especialista en aparato osteomioarticular.
.El mecanismo principal es hiperextensión de la cadera con flexión de la rodilla.






