5/5 - (4 votes)
Ecografía Obstétrica
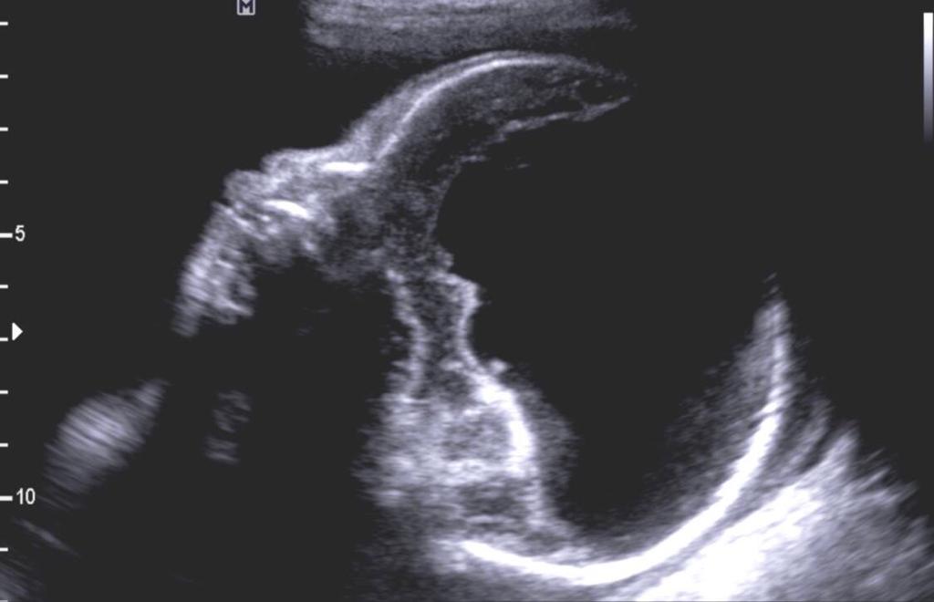
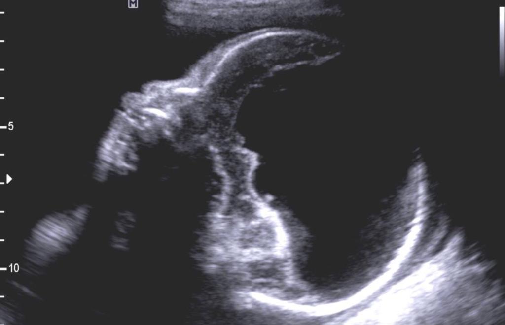
Holoprosencefalia alobar
Se caracteriza por marcados alteraciones en la línea media del encéfalo y/o malformaciones faciales.
Hallazgos radiológicos:
- Fusion completa de los hemisferios cerebrales
- Ausencia de la fisura interhemisferica y de la hoz cerebral
- Agenesia del cuerpo calloso y de la comisura anterior
- Holoventriculo, quiste dorsal
- Ausencia de septum pellucidum
- Los ganglios de la base de tálamos pueden estar diferenciados, funcionado o ausentes
Dra. Sterling Arróliga Selva.
Esp. Radiología -Resonancia Magnética
Centro de Diagnóstico por Imágenes “Linda Vista”
BIENVENIDO A SU CENTRO DE DIAGNÓSTICO POR IMÁGENES LINDA VISTA
Cuenta con el personal científico médico y técnico en Diagnósticos por imágenes de alta calidad con experiencia en nuestro país, para la atención de los pacientes que requieren diferentes tipos de diagnóstico; además del personal de apoyo calificado, con sensibilidad humana, garantizando una excelente atención y un diagnóstico confiable.
¡Suscríbete a nuestro boletín!
[easy-share counters=1 counter_pos="inside" native="no" hide_total="yes" fullwidth="yes" fullwidth_fix="100"]
Entradas recientes
- RADIOGRAFIA Y ECOGRAFIA DE HOMBRO OSTEOARTRITIS ACROMIOCLAVICULAR 7 julio, 2022
- Resonancia Magnética de Cuello 6 julio, 2022
- ¿ Qué significa lesión BIRADS 4 ? 7 noviembre, 2019
| L | M | X | J | V | S | D |
|---|---|---|---|---|---|---|
| 1 | 2 | 3 | 4 | |||
| 5 | 6 | 7 | 8 | 9 | 10 | 11 |
| 12 | 13 | 14 | 15 | 16 | 17 | 18 |
| 19 | 20 | 21 | 22 | 23 | 24 | 25 |
| 26 | 27 | 28 | 29 | 30 | 31 | |



