Una de las indicaciones principales de la ecografía doppler de arterias renales es el estudio de la estenosis de la arteria renal. Esta patología se asocia a dos síndromes fundamentales: La hipertensión renovascular y la nefropatía isquémica que termina por producir insuficiencia renal. La hipertensión renovascular tiene una incidencia de aproximadamente un 1-5%, incidencia que aumenta con la edad, la diabetes, la presencia de enfermedad obstructiva en miembros inferiores o coronarias, etc…
La estenosis de la arteria renal es la causa del 5% de los casos de hipertensión arterial y del 10-20% de los casos de nefropatía crónica.
La estenosis de arterias renales tiene dos causas fundamentales:
- Aterosclerosis: Suele producirse en pacientes de edad media o avanzada y se asocia a factores de riesgo cardiovascular. Asienta principalmente en el ostium y centímetros proximales de la arteria renal principal y puede ser bilateral hasta en un 20-30% de casos.
- Displasia fibromuscular: Suele afectar a mujeres jóvenes, y asienta fundamentalmente en el tercio medio y distal de la arteria renal principal.
¿Qué parámetros debemos de evaluar?
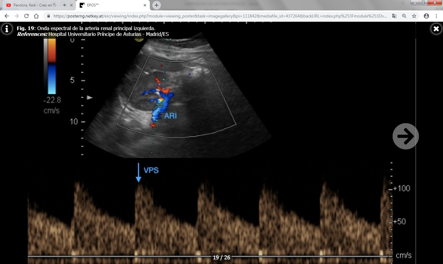
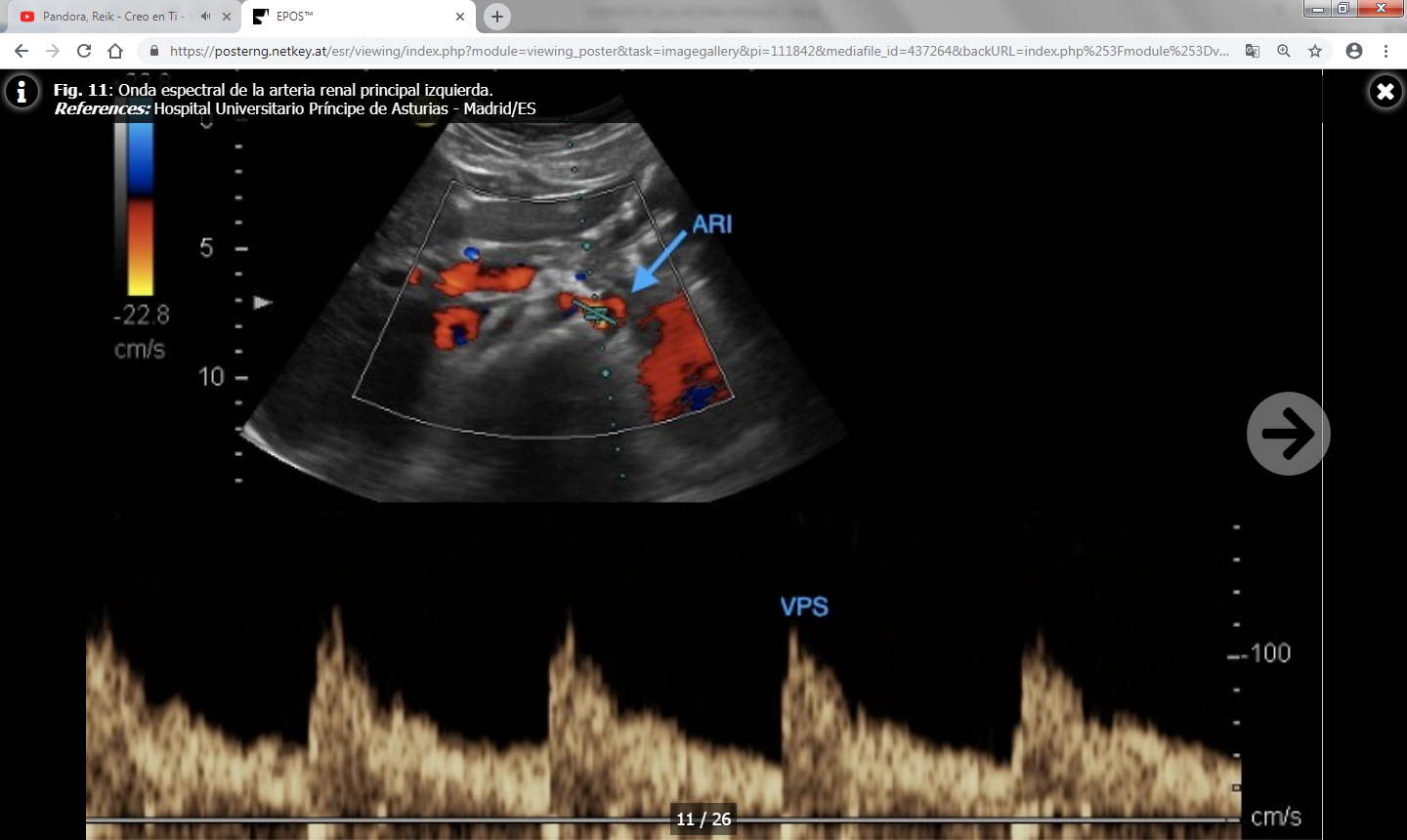
Hay dos grupos de parámetros: Directos o indirectos según se valoren en las arterias renales principales o ramas intrarrenales respectivamente.
Los parámetros directos son más fiables y reproducibles que los indirectos, y son los siguientes:
- Velocidad picosistólica (VPS) : Normal por debajo de 180-200 cm/s.
- Índice reno-aórtico (cociente entre la VPS de la arteria renal y la aorta): Normal por debajo de 3.5-3.6.
- Índice reno-renal (cociente entre la VPS en el punto de estenosis y en un punto distal a la misma): Normal por debajo de 4.
Los parámetros indirectos tienen una alta especificidad pero muy baja sensibilidad, y son los siguientes:
- Índice de resistencia (IR) : Es el resultado del cociente VPS – VTD / VPS (siendo VPS la velocidad picosistólica y VTD la velocidad al final de la diástole). Se debe calcular una media con las distintas medidas obtenidas en cada riñón y valorar si existen diferencias entre un riñón y el contralateral. Lo normal es que el índice de resistencia esté entre 0.6-0.7 y que la diferencia entre ambos riñones sea menor del 5% (ó 0.05). Un aumento de la velocidad telediastólica mayor de 150 cm/s en un paciente con IR intrarrenal menor de 0.7 es altamente sospechoso de estenosis mayor del 80%.
El IR no solamente permite detectar la presencia de estenosis significativas, sino que además predice el pronóstico y la respuesta al tratamiento de revascularización: En un estudio se publicó que en pacientes con IR mayores de 0.8 había escasa respuesta al tratamiento de revascularización ya que la enfermedad renal estaba establecida y era irreversible. No obstante, estos datos han sido ampliamente discutidos en la literatura y no existe acuerdo a día de hoy. - Tiempo de aceleración (TA) e índice de aceleración (IA) : Son parámetros más operador dependientes y por ello menos fiables que el IR. Los valores normales son menores de 0.07-0.08 ms y menores de 3 m/s respectivamente.
- Detección de ondas de morfología parvus tardus (ascenso sistólico lento y progresivo).
Dra. Sterling Arróliga Selva
Medico Radióloga-Resonancia Magnética
Cod.12966
![]()







