5/5 - (1 vote)
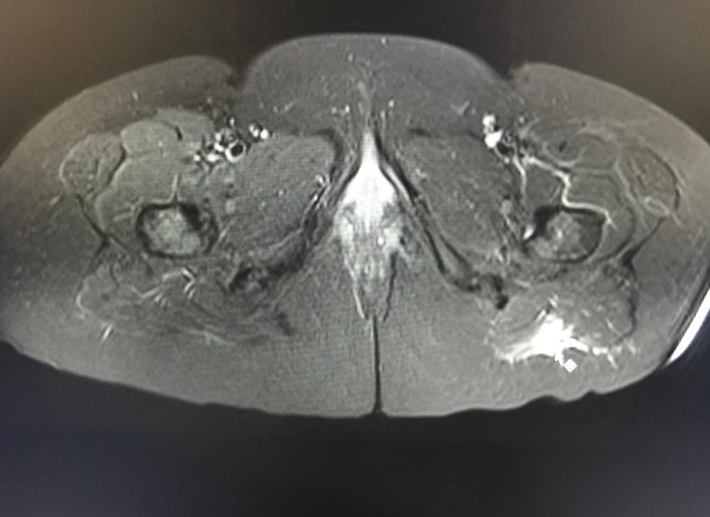
La RM es esencial para el diagnóstico de la topografía, severidad y extensión de los desgarros musculares.
Un compromiso fibrilar mayor del 15% del área muscular con una longitud superior a los 13cm y una localización central al vientre muscular , presenta un peor pronóstico y mayor tiempo de rehabilitación.
Un diagnóstico temprano es fundamental para evitar la retracción muscular y la formación de tejido cicatrízal.
Dra. Sterling Arróliga Selva
Lic. Francisco Paseta
Ing. Lesther Lira
BIENVENIDO A SU CENTRO DE DIAGNÓSTICO POR IMÁGENES LINDA VISTA
Cuenta con el personal científico médico y técnico en Diagnósticos por imágenes de alta calidad con experiencia en nuestro país, para la atención de los pacientes que requieren diferentes tipos de diagnóstico; además del personal de apoyo calificado, con sensibilidad humana, garantizando una excelente atención y un diagnóstico confiable.
¡Suscríbete a nuestro boletín!
[easy-share counters=1 counter_pos="inside" native="no" hide_total="yes" fullwidth="yes" fullwidth_fix="100"]
Entradas recientes
- RADIOGRAFIA Y ECOGRAFIA DE HOMBRO OSTEOARTRITIS ACROMIOCLAVICULAR 7 julio, 2022
- Resonancia Magnética de Cuello 6 julio, 2022
- ¿ Qué significa lesión BIRADS 4 ? 7 noviembre, 2019
| L | M | X | J | V | S | D |
|---|---|---|---|---|---|---|
| 1 | 2 | 3 | 4 | |||
| 5 | 6 | 7 | 8 | 9 | 10 | 11 |
| 12 | 13 | 14 | 15 | 16 | 17 | 18 |
| 19 | 20 | 21 | 22 | 23 | 24 | 25 |
| 26 | 27 | 28 | 29 | 30 | 31 | |

