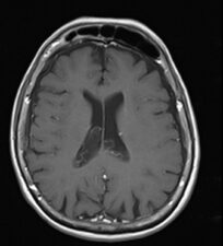
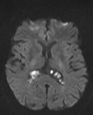
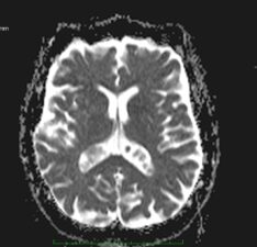
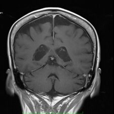
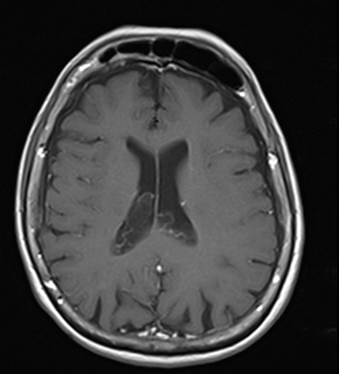
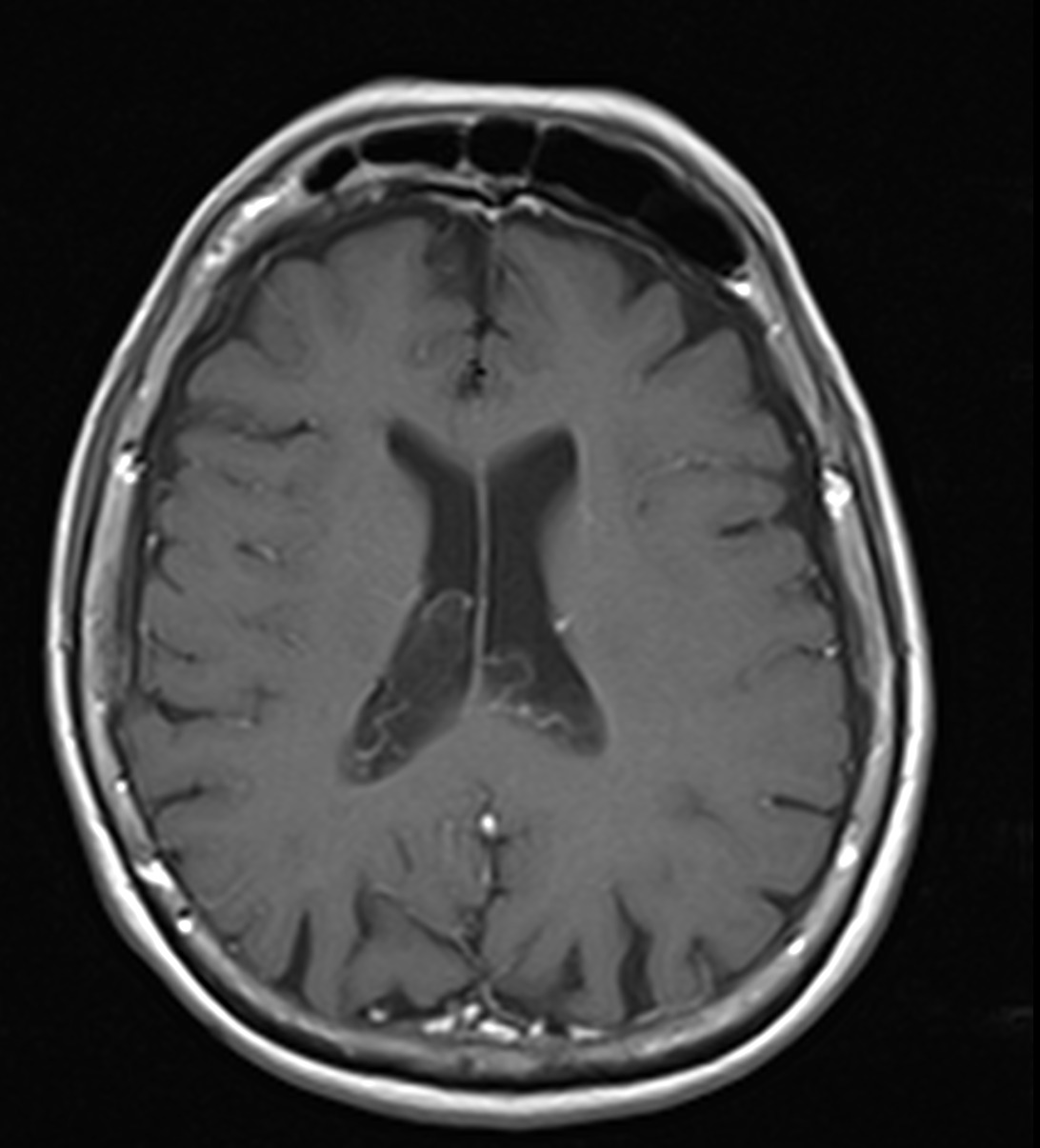
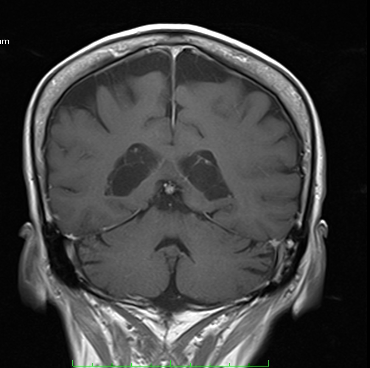
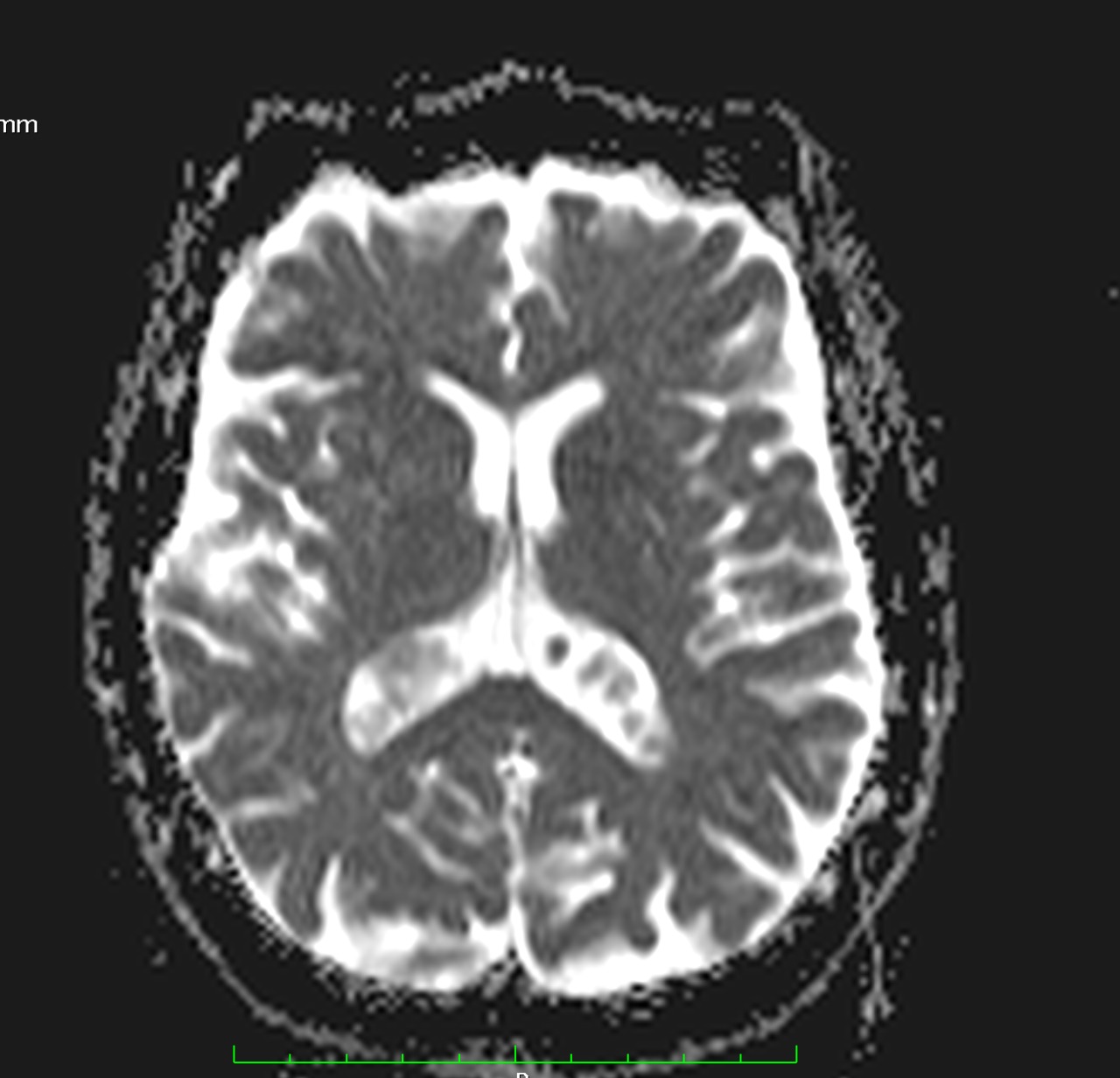
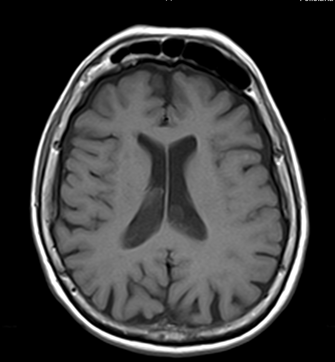
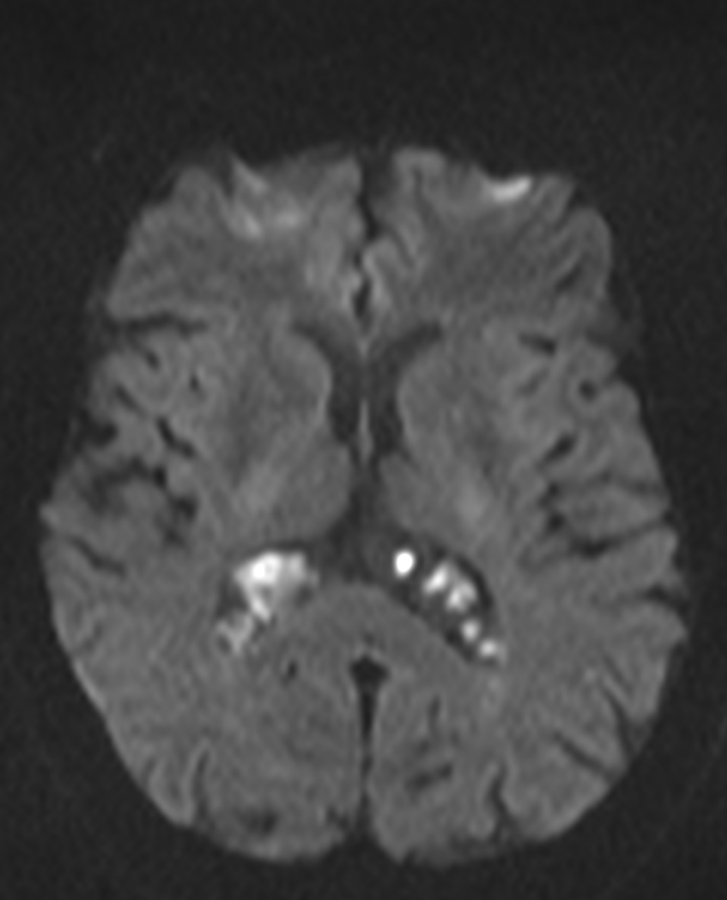
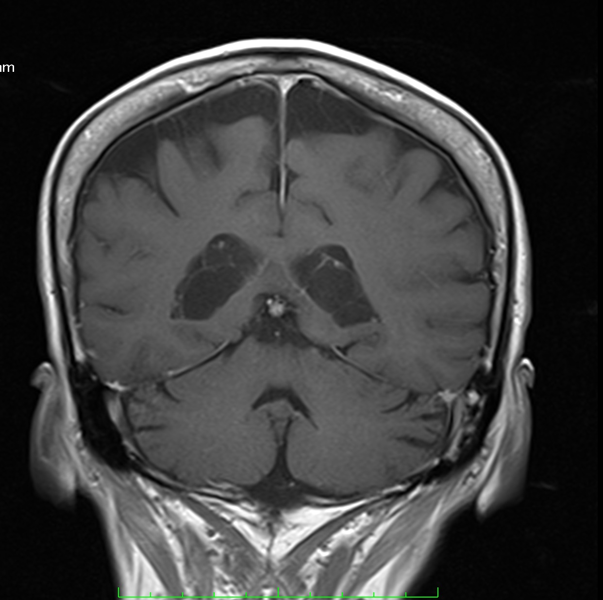
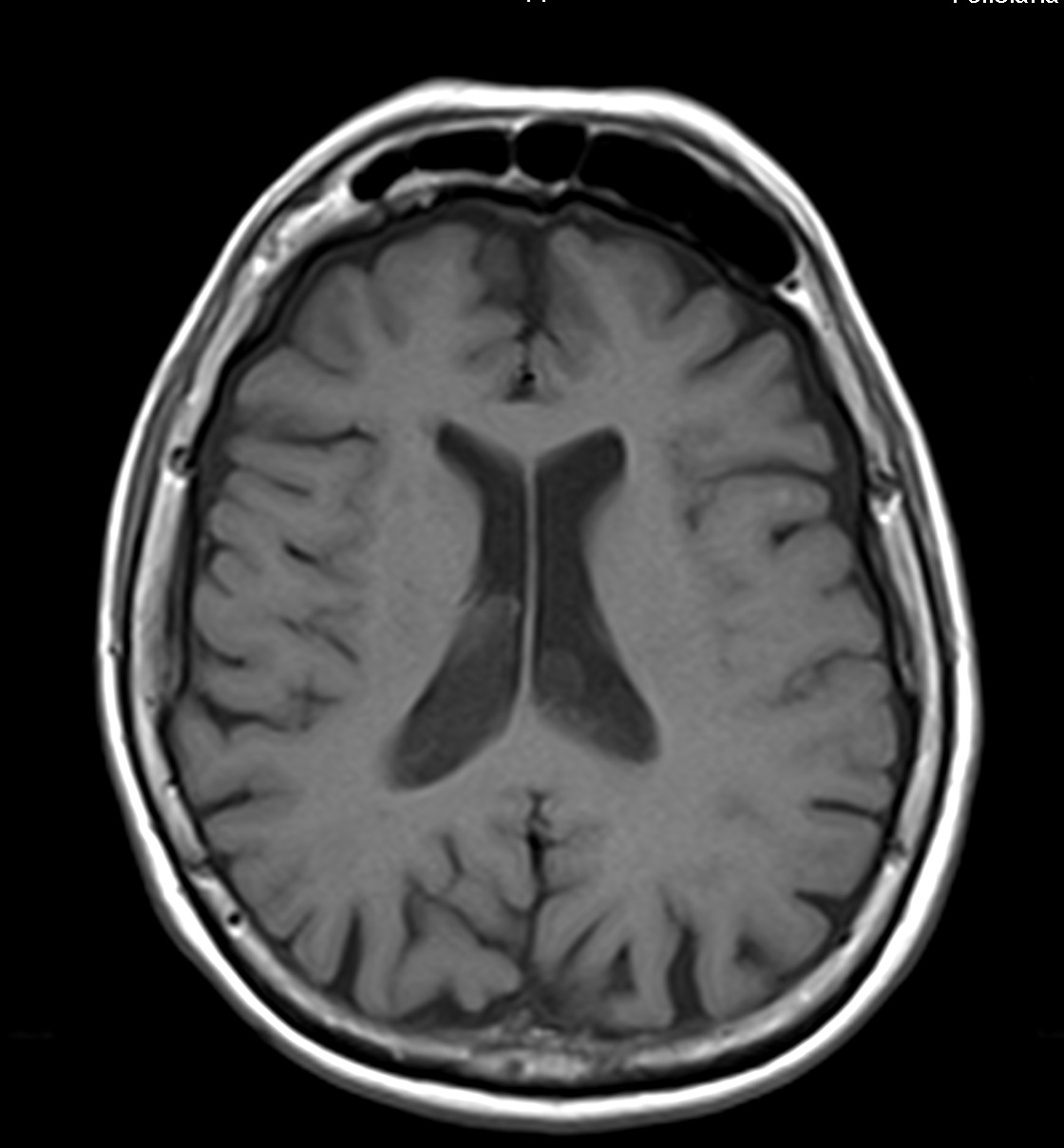
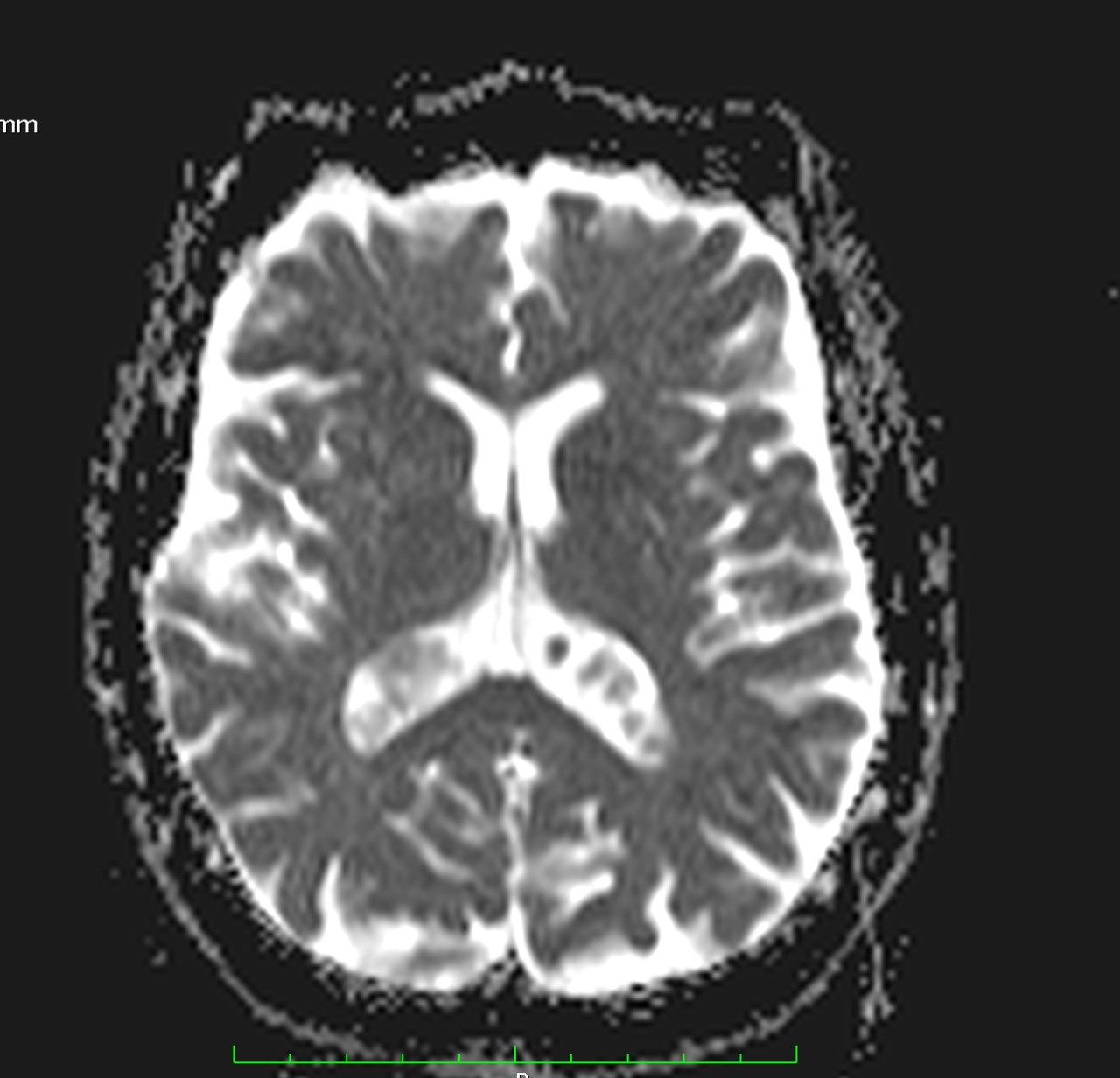
Son pseudolesiones frecuentemente observadas en estudios de neuroimagen.
Sus principales características son:
✔ Lesiones intraventriculares
✔Bilaterales
✔65% restringen en la secuencia de difusión
✔ Realce variable posterior a la administración de medio de contraste
✔ No hay edema del parenquima adyacente
NO DEBEN CONFUNDIRSE CON LESIONES TUMORALES INTRAVENTRICULARES!!!!
Dra. Alejandra Espinoza Barillas.
Esp. en Radiología e Imagenología Resonancia Magnética Cardiovascular
Centro de Diagnóstico Por Imágenes “Linda Vista”
![]()




