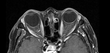
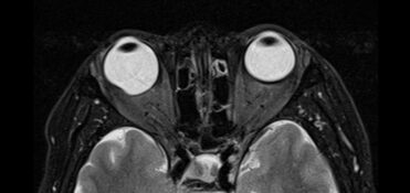
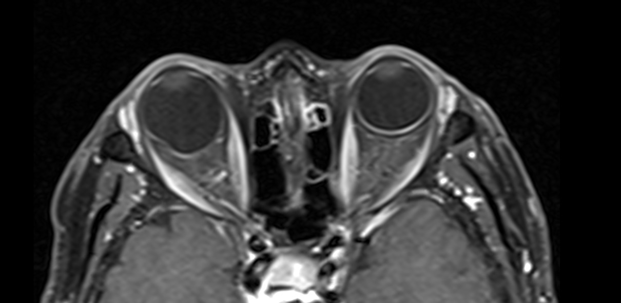
Cortes axiales de resonancia magnética de órbitas en el cual se aprecia aumento del tamaño del globo ocular derecho a expensas de su eje anteroposterior, acompañado de adelgazamiento de su pared posterior lo cual corresponde a estafiloma.
Estafiloma
Definición: Adelgazamiento y estiramiento de las capas escleral-uveal del globo ocular.
Puede ser anterior y posterior, aunque el posterior es más frecuente.
Hallazgos por imagen: Aumento del tamaño del globo ocular y adelgazamiento de sus paredes posteriores.
Diagnósticos diferenciales
Coloboma: defecto o discontinuidad focal del tejido ocular a diferencia del estafiloma que es un adelgazamiento esclero-uveal.
Manifestaciones clínicas: Dificultad para ver de lejos.
Dra. Alejandra Espinoza Barillas
Especialista en diagnóstico por imágenes.
Alta especialidad en imagen cardiovascular y radiología de tórax.
CENTRO DE DIAGNÓSTICO POR IMÁGENES “LINDA VISTA”
![]()


