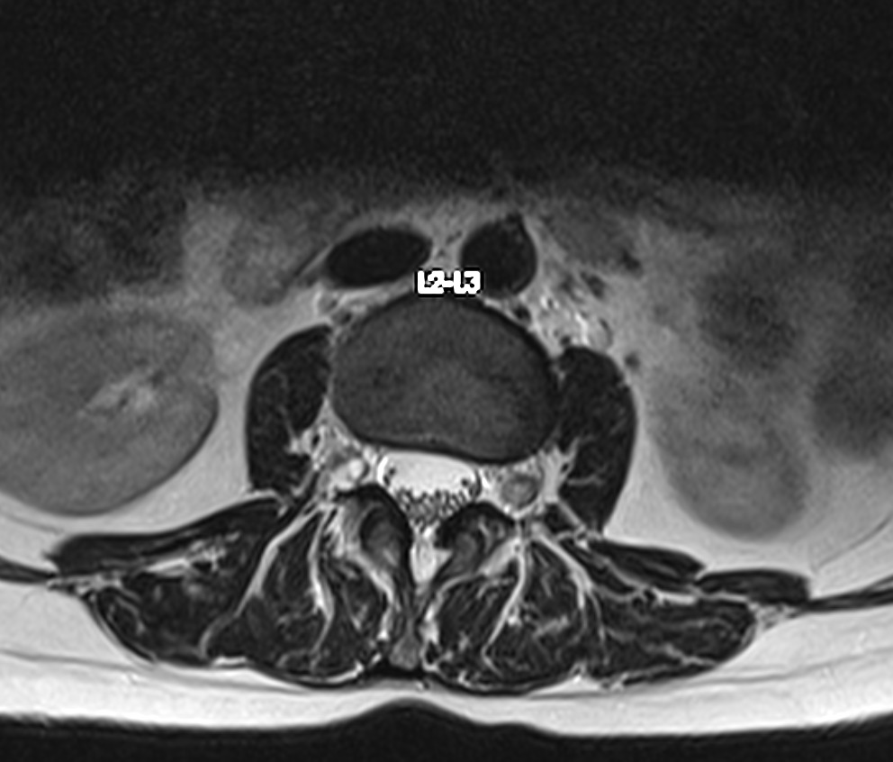
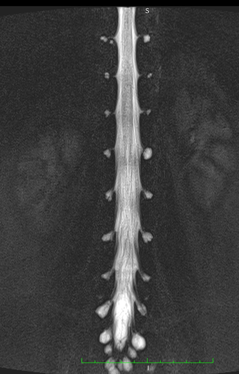
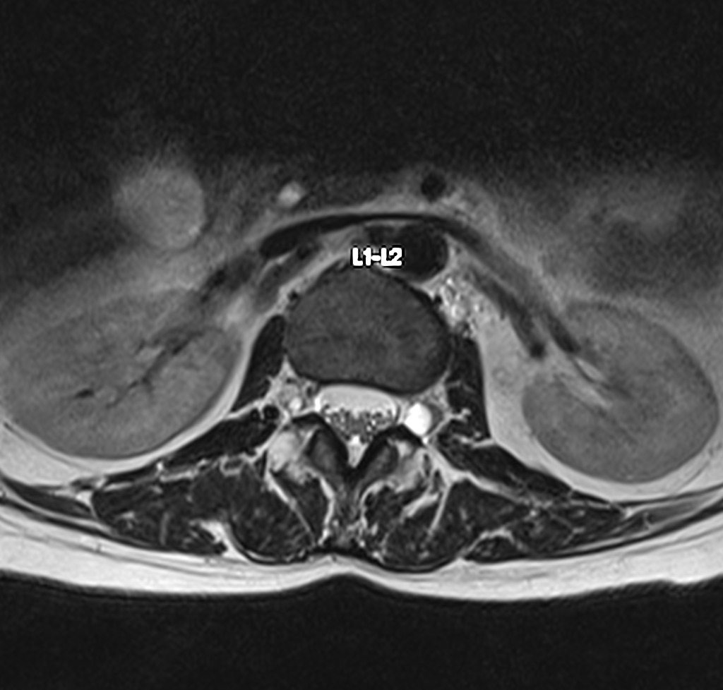
Resonancia Magnética de columna lumbar
“QUISTES PERINEURALES”
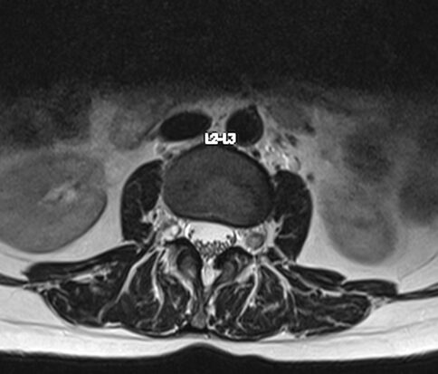
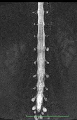
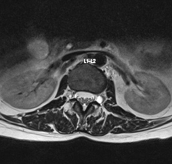
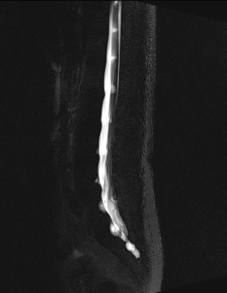
Los quistes perineurales son quistes llenos de líquido cefalorraquídeo en las raíces nerviosas, localizados principalmente en la zona sacra de la columna vertebral, aunque pueden encontrarse en cualquier sección de la columna vertebral; pueden causar una radiculopatía progresivamente dolorosa. Las mujeres se ven afectadas con mayor frecuencia que los hombres. Los pacientes con quistes perineurales presentan dolor en la zona de los nervios afectados por el quiste, debilidad muscular, dificultad para sentarse durante periodos prolongados, pérdida de la sensibilidad, pérdida de reflejos, dolor al estornudar o toser, inflamación en la zona sacra, parestesias, dolor de cabeza, ciática, y disfunción intestinal, de vejiga y sexual.
El diagnóstico se basa en la resonancia magnética.
Dra. Alejandra Espinoza Barillas
Especialista en diagnóstico por imágenes
Imagen Cardiovascular y Radiología de Tórax
Centro de Diagnóstico por Imágenes “Linda Vista”





