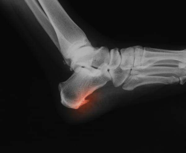
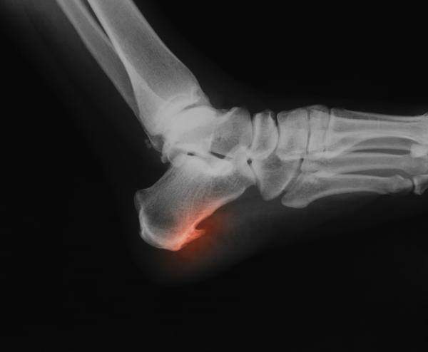
ESPOLÓN CALCÁNEO. ¿QUÉ ES?
Es un crecimiento del hueso del talón en forma triangular o de lanza.
¿ES DOLOROSO?
El síntoma principal del espolón calcáneo es el dolor en la parte interna del talón, pero los pinchazos también pueden aparecer en cualquier zona de la planta del pie.
¿en qué momento del día duele más?🌞🌞🌞
El dolor incrementa, sobre todo, cuando nos levantamos por la mañana de la cama y nos ponemos de pie, tras estar sentado durante mucho tiempo o al realizar actividades como caminar o correr.
Si presentas estos síntomas visita a tu médico. El diagnóstico se realiza mediante la visualización del espolón en una radiografía.
Dra. Alejandra Espinoza Barillas.
Esp. en Radiología e Imagenología Resonancia Magnética Cardiovascular
Centro de Diagnóstico Por Imágenes “Linda Vista”
BIENVENIDO A SU CENTRO DE DIAGNÓSTICO POR IMÁGENES LINDA VISTA
Cuenta con el personal científico médico y técnico en Diagnósticos por imágenes de alta calidad con experiencia en nuestro país, para la atención de los pacientes que requieren diferentes tipos de diagnóstico; además del personal de apoyo calificado, con sensibilidad humana, garantizando una excelente atención y un diagnóstico confiable.
¡Suscríbete a nuestro boletín!
Entradas recientes
- RADIOGRAFIA Y ECOGRAFIA DE HOMBRO OSTEOARTRITIS ACROMIOCLAVICULAR 7 julio, 2022
- Resonancia Magnética de Cuello 6 julio, 2022
- ¿ Qué significa lesión BIRADS 4 ? 7 noviembre, 2019
| L | M | X | J | V | S | D |
|---|---|---|---|---|---|---|
| 1 | 2 | 3 | 4 | 5 | 6 | 7 |
| 8 | 9 | 10 | 11 | 12 | 13 | 14 |
| 15 | 16 | 17 | 18 | 19 | 20 | 21 |
| 22 | 23 | 24 | 25 | 26 | 27 | 28 |
| 29 | 30 | 31 | ||||



Pingback: viagra dosage 25 mg
Pingback: 75 mg sildenafil
Pingback: sildenafil citrate 25mg tablet
Pingback: viagra 75mg
Pingback: generic cialis 60 mg
Pingback: sildenafil 50 mg buy online
Pingback: generic clomid
Pingback: rybelsus 14 mg
Pingback: rybelsus online
Pingback: rybelsus for sale
Pingback: generic promethazine
Pingback: diphenhydramine 25mg
Pingback: buy loratadine online
Pingback: levothyroxine 125mcg
Pingback: machance casino
Pingback: cheapest vardenafil 20mg
Pingback: buy liquid cialis
Pingback: cialis 20mg price in canada
Pingback: female pink viagra 100 mg pills
Pingback: original cialis 20mg
Pingback: cialis for sale near me
Pingback: backlinks from subdomains
Pingback: topamax used weight loss pill
Pingback: prednisolone price
Pingback: can i buy colchicine over the counter
Pingback: buy januvia online
Pingback: buy cheap synthroid
Pingback: cialis 20 mg originale prezzo
Pingback: nexium sale
Pingback: singulair 10mg
Pingback: cheapest price on allegra
Pingback: tamsulosin 2023
Pingback: omeprazole purchase discount
Pingback: buy amlodipine 2023
Pingback: diltiazem 60mg
Pingback: cialis coupons 20 mg
Pingback: buy generic depakote
Pingback: buy voltaren online
Pingback: buy lasix fluid pills
Pingback: tadalafil ip 20mg color
Pingback: crestor 2023
Pingback: how many drinks can you have with 20mg cialis
Pingback: cialis 5mg price comparison
Pingback: cialis 20mg kaufen
Pingback: olanzapine 2023
Pingback: buspar pill strength
Pingback: methotrexate cheap
Pingback: naltrexone 50mg
Pingback: buy celebrex celecoxib
Pingback: buy allopurinol gout
Pingback: buy lamictal 100mg
Pingback: best online casino canada slots for real money
Pingback: casino apps with real money
Pingback: vira tadalafil capsules 20mg
Pingback: frank casino real money casino
Pingback: best rated real money online casino
Pingback: benadryl discount coupon
Pingback: promethazine online
Pingback: lisinopril 2023
Pingback: prednisone online
Pingback: where to buy tizanidine
Pingback: order wellbutrin sr online
Pingback: fluoxetine online
Pingback: buy hydrochlorothiazide online
Pingback: buy glucophage metformin
Pingback: diclofenac sodium enteric coated tablets 50 mg
Pingback: lowest price cialis 20mg
Pingback: stacking 10mg cialis and 25mg viagra
Pingback: 75 mg viagra
Pingback: cialis 20 coupon
Pingback: levitra 10 pills x 20mg cialis 10 pills
Pingback: cialis 10mg daily dose
Pingback: free real money casino no deposit app