5/5 - (1 vote)
Imagen por Resonancia Magnética
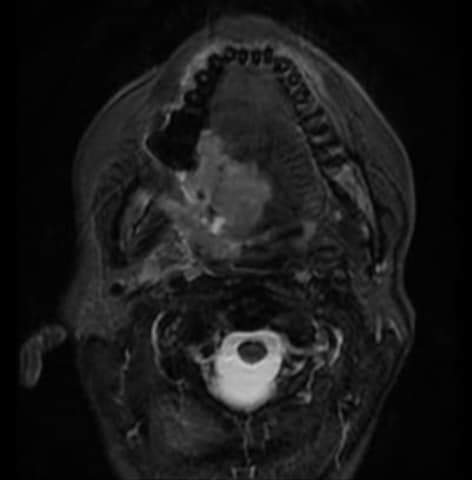
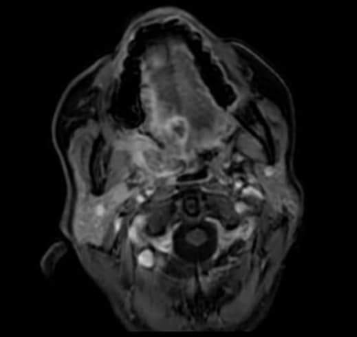
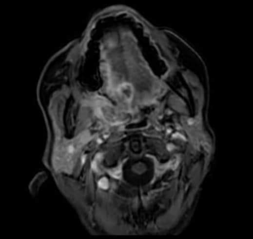
Al igual que la TC (tomografía computada), las imágenes por resonancia magnética muestran imágenes detalladas de los tejidos blandos del cuerpo. Utilizan ondas de Radio e imanes potentes en lugar de rayos X. Debido a que provee una imagen detallada, puede que se haga una Resonancia Magnética para determinar si hay propagación de cáncer en el cuello.
Dra. Alejandra Espinoza Barillas
Especialista en diagnóstico por imágenes.
Alta especialidad en imagen cardiovascular y radiología de tórax.
CENTRO DE DIAGNÓSTICO POR IMÁGENES “LINDA VISTA”
BIENVENIDO A SU CENTRO DE DIAGNÓSTICO POR IMÁGENES LINDA VISTA
Cuenta con el personal científico médico y técnico en Diagnósticos por imágenes de alta calidad con experiencia en nuestro país, para la atención de los pacientes que requieren diferentes tipos de diagnóstico; además del personal de apoyo calificado, con sensibilidad humana, garantizando una excelente atención y un diagnóstico confiable.
¡Suscríbete a nuestro boletín!
[easy-share counters=1 counter_pos="inside" native="no" hide_total="yes" fullwidth="yes" fullwidth_fix="100"]
Entradas recientes
- RADIOGRAFIA Y ECOGRAFIA DE HOMBRO OSTEOARTRITIS ACROMIOCLAVICULAR 7 julio, 2022
- Resonancia Magnética de Cuello 6 julio, 2022
- ¿ Qué significa lesión BIRADS 4 ? 7 noviembre, 2019
| L | M | X | J | V | S | D |
|---|---|---|---|---|---|---|
| 1 | 2 | 3 | 4 | |||
| 5 | 6 | 7 | 8 | 9 | 10 | 11 |
| 12 | 13 | 14 | 15 | 16 | 17 | 18 |
| 19 | 20 | 21 | 22 | 23 | 24 | 25 |
| 26 | 27 | 28 | 29 | 30 | 31 | |


Pingback: sildenafil tabletas 100 mg
Pingback: 100 mg of sildenafil
Pingback: sildenafil citrate 25mg tablet
Pingback: generic cialis pills
Pingback: sildenafil citrate 25mg tab
Pingback: buying clomid online
Pingback: rybelsus for sale
Pingback: where to buy rybelsus
Pingback: rybelsus sale
Pingback: generic astralean
Pingback: cheap albuterol
Pingback: buy deltasone
Pingback: buy dapoxetine online
Pingback: casino francais en ligne
Pingback: adalafil 20mg test
Pingback: cialis coupon 2021
Pingback: tadalafil hormosan 20 mg erfahrungen
Pingback: how much is cialis brand 20 mg for 10 pills at farmacy?
Pingback: generic taalafil patent
Pingback: pro cialis 20 mg
Pingback: buy levothyroxine online
Pingback: diclofenac sodium to buy
Pingback: topamax generic
Pingback: nexium mail order
Pingback: neurontin 800mg
Pingback: cheap cialis 20mg freeshipping canada
Pingback: prednisolone prices
Pingback: diltiazem price
Pingback: color crestor pills
Pingback: allegra
Pingback: norvasc 2.5mg
Pingback: buy lasix uk
Pingback: omeprazole magnesium sale
Pingback: cheapest price for depakote
Pingback: flomax online
Pingback: where can i get cialis
Pingback: colchicine 0.5mg pills
Pingback: buy januvia cheap
Pingback: singulair to buy online
Pingback: tadalafil pensa 20 mg prezzo
Pingback: medicamento cialis 20 mg
Pingback: what is the most successful usage of 20mg tadalafil tablets
Pingback: methotrexate 2.5mg
Pingback: can i buy zofran over the counter
Pingback: generic lamotrigine
Pingback: meclizine buy
Pingback: buy naltrexone online uk
Pingback: cetirizine online
Pingback: buy ketorolac 2023
Pingback: cheaper alternative seroquel
Pingback: allopurinol price
Pingback: buy crestor rosuvastatin
Pingback: slot machine online casino games for real money
Pingback: cialis 20mg comparison
Pingback: hollywood casino online slots real money
Pingback: online casino games real money app
Pingback: can i buy diclofenac sodium over the counter
Pingback: promethazine 2023
Pingback: hyzaar (losartan + hydrochlorothiazide) buy
Pingback: buy fluoxetine
Pingback: prednisone 10mg
Pingback: generic metformin
Pingback: buy tizanidine 4mg
Pingback: benadryl allergy sale
Pingback: lisinopril 10mg
Pingback: buy wellbutrin sr online
Pingback: cialis 5mg gummy