(505 ) 2264 3079 | + (505) 2264 3080| + (505) 2264 3081 | imaglvista@gmail.com

La parálisis de Bell causa debilidad repentina y temporal en los músculos faciales. Esto hace que la mitad de la cara se vea caída. La sonrisa se dibuja de un solo lado y uno de los ojos no cierra por completo.

La parálisis de Bell, que también se conoce como parálisis facial, puede suceder a cualquier edad. No se conoce con exactitud la causa. Se cree que es resultado de la hinchazón e inflamación del nervio que controla los músculos de un lado de la cara. También puede ser una reacción después de una infección viral.

En la mayoría de los casos, la parálisis de Bell es temporal. Por lo general, los síntomas comienzan a mejorar en el plazo de algunas semanas y se alcanza la recuperación completa en unos seis meses. Existe una pequeña cantidad de personas que continúan teniendo los síntomas de la parálisis de Bell de por vida. Es poco frecuente que vuelva a presentarse la parálisis de Bell.

Síntomas

Debilidad facial
Parálisis facial

Los signos y síntomas de la parálisis de Bell suceden de repente y pueden incluir los siguientes:

Aparición rápida de debilidad leve a parálisis total en un lado del rostro, que puede ocurrir en una cuestión de horas o días
Parálisis facial y dificultad para hacer expresiones faciales, como cerrar un ojo o sonreír
Babeo
Dolor alrededor de la mandíbula o dentro o detrás de la oreja del lado afectado
Aumento de sensibilidad al sonido en el lado afectado
Dolor de cabeza
Disminución en la capacidad de saborear
Cambios en la cantidad de lágrimas y saliva producida
En casos inusuales, la parálisis de Bell puede afectar los nervios en ambos lados de tu rostro.

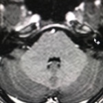
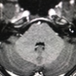
Caso: Neuritis del nervio facial izquierdo. RM cerebral.
Dra. Sterling Arróliga Selva
Lic Francisco Paseta.
Ing Lesther Lira.